The HRP-Conjugated Actin Mouse Monoclonal Antibody (CABC043) is a highly specific and sensitive tool for researchers studying actin, a crucial protein involved in cell structure and movement. This antibody, derived from mouse monoclonal sources, is optimized for use in applications such as Western blotting and immunofluorescence.With its high reactivity towards actin in various species, including human samples, this antibody allows for accurate and reliable detection and analysis of actin protein levels in different cell types and tissues. Its conjugation with horseradish peroxidase (HRP) further enhances its utility by providing a signal amplification system for enhanced sensitivity.
Actin is essential for processes such as cell division, motility, and shape maintenance, making it a key player in various biological functions and pathways. Researchers in fields such as cell biology, cancer research, and drug development can benefit from using this antibody to elucidate the role of actin in health and disease.Whether investigating the cytoskeletal dynamics in cancer cells or studying the impact of actin inhibitors on cell migration, the HRP-Conjugated Actin Mouse Monoclonal Antibody (CABC043) offers a reliable and precise tool for advancing your research goals.
Product Name:
HRP-conjugated β-Actin Mouse Monoclonal Antibody
SKU:
CABC043
Size:
100uL
Isotype:
IgG1,Lambda
Host Species:
Mouse
Reactivity:
Human,Mouse,Rat
Immunogen:
Recombinant protein of Mouse HRP-conjugated β-Actin
This gene encodes one of six different actin proteins. Actins are highly conserved proteins that are involved in cell motility, structure, integrity, and intercellular signaling. The encoded protein is a major constituent of the contractile apparatus and one of the two nonmuscle cytoskeletal actins that are ubiquitously expressed. Mutations in this gene cause Baraitser-Winter syndrome 1, which is characterized by intellectual disability with a distinctive facial appearance in human patients. Numerous pseudogenes of this gene have been identified throughout the human genome.
Purification Method:
Affinity purification
Gene ID:
60
Clone Number:
AMC0001
Storage Buffer:
Store at -20℃. Avoid freeze / thaw cycles.Buffer: PBS with 0.01% thimerosal,50% glycerol,pH7.3.
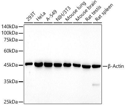
Western blot analysis of various lysates using HRP-conjugated β-Actin Mouse mAb (AC043) at 1:5000 dilution.Lysates/proteins: 25μg per lane.Blocking buffer: 3% nonfat dry milk in TBST.Detection: ECL Basic Kit (AbGn00020).Exposure time: 180s.