The Actin Rabbit Monoclonal Antibody (CABC038) is a valuable tool for researchers studying actin, a protein essential for various cellular processes such as cell movement, division, and structure. This antibody, developed in rabbits, is highly specific for actin and is validated for use in immunofluorescence, immunohistochemistry, and Western blot applications in human, mouse, and rat samples.Actin is a key component of the cytoskeleton and plays a crucial role in maintaining cell shape and movement. Dysregulation of actin dynamics has been implicated in various diseases, including cancer, neurodegenerative disorders, and autoimmune conditions.
The Actin Rabbit Monoclonal Antibody enables researchers to visualize and quantify actin expression and localization in different cell types and tissues, facilitating a deeper understanding of its role in health and disease.With its high specificity and sensitivity, the Actin Rabbit Monoclonal Antibody is a valuable tool for investigating the intricate functions of actin in cellular physiology and pathology. Whether studying basic cell biology or exploring new therapeutic targets, this antibody provides reliable results and insights into the diverse roles of actin in biological processes.
This gene encodes one of six different actin proteins. Actins are highly conserved proteins that are involved in cell motility, structure, integrity, and intercellular signaling. The encoded protein is a major constituent of the contractile apparatus and one of the two nonmuscle cytoskeletal actins that are ubiquitously expressed. Mutations in this gene cause Baraitser-Winter syndrome 1, which is characterized by intellectual disability with a distinctive facial appearance in human patients. Numerous pseudogenes of this gene have been identified throughout the human genome.
Purification Method:
Affinity purification
Gene ID:
60
Clone Number:
ARC5115-01
Storage Buffer:
Store at -20℃. Avoid freeze / thaw cycles.Buffer: PBS with 0.05% proclin300,0.05% BSA,50% glycerol,pH7.3.
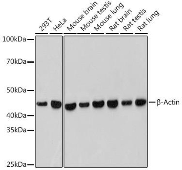
Western blot analysis of various lysates using β-Actin Rabbit mAb (AC038) at 1:50000 dilution.Secondary antibody: HRP Goat Anti-Rabbit IgG (H+L) (CABS014) at 1:10000 dilution.Lysates/proteins: 25μg per lane.Blocking buffer: 3% nonfat dry milk in TBST.Detection: ECL Basic Kit (AbGn00020).Exposure time: 60s.