The GALT Polyclonal Antibody is a vital tool for researchers studying the role of GALT (Galactose-1-phosphate uridylyltransferase) in various biological processes. This antibody, produced in rabbits, is specifically designed to target GALT protein, allowing for accurate detection and analysis in a variety of cell samples. Validated for use in Western blot applications, this antibody is highly reactive with human samples, making it an ideal choice for immunology and cancer research studies.GALT is an enzyme that plays a crucial role in the galactose metabolism pathway, maintaining proper function in cells and tissues.
Dysregulation of GALT activity has been linked to various diseases and disorders, including galactosemia and liver diseases. By studying the activity and expression of GALT, researchers can gain valuable insights into these conditions and potentially develop new therapeutic strategies.With its high specificity and reliability, the GALT Polyclonal Antibody is a valuable tool for advancing our understanding of GALT function and its implications in health and disease. Its versatility and quality make it a must-have for any research laboratory focused on molecular biology and biochemistry.
Product Name:
GALT Polyclonal Antibody
SKU:
CAB21426
Size:
20uL, 100uL
Isotype:
IgG
Host Species:
Rabbit
Reactivity:
Human,Mouse,Rat
Immunogen:
Recombinant fusion protein containing a sequence corresponding to amino acids 1-379 of human GALT (NP_000146.2).
Galactose-1-phosphate uridyl transferase (GALT) catalyzes the second step of the Leloir pathway of galactose metabolism, namely the conversion of UDP-glucose + galactose-1-phosphate to glucose-1-phosphate + UDP-galactose. The absence of this enzyme results in classic galactosemia in humans and can be fatal in the newborn period if lactose is not removed from the diet. The pathophysiology of galactosemia has not been clearly defined. Two transcript variants encoding different isoforms have been found for this gene.
Purification Method:
Affinity purification
Gene ID:
2592
Storage Buffer:
Store at -20℃. Avoid freeze / thaw cycles.Buffer: PBS with 0.02% sodium azide,50% glycerol,pH7.3.
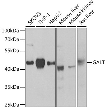
Western blot analysis of various lysates using GALT Rabbit pAb (CAB21426) at 1:1000 dilution.Secondary antibody: HRP Goat Anti-Rabbit IgG (H+L) (CABS014) at 1:10000 dilution.Lysates/proteins: 25μg per lane.Blocking buffer: 3% nonfat dry milk in TBST.Detection: ECL Basic Kit (AbGn00020).Exposure time: 90s.