The Galactose-1-phosphate uridylyltransferase (GALT) Polyclonal Antibody (CAB20966) is a valuable tool for researchers studying the GALT enzyme, which plays a crucial role in the galactose metabolism pathway. This antibody, produced in rabbits, exhibits high specificity for human samples and has been validated for use in various applications, including Western blotting.GALT is essential for converting galactose-1-phosphate into UDP-galactose, a key step in galactose utilization and energy production. Mutations in the GALT gene can lead to galactosemia, a rare genetic disorder that affects the body's ability to metabolize galactose.
By targeting the GALT protein, researchers can gain insights into the mechanism of galactose metabolism and explore potential therapeutic interventions for galactosemia and related metabolic disorders.The GALT Polyclonal Antibody enables the specific detection and analysis of GALT protein expression in different cell types and tissues, making it a valuable tool for research in biochemistry, genetics, and metabolic diseases. By elucidating the role of GALT in galactose metabolism, researchers can advance our understanding of metabolic pathways and develop strategies for managing metabolic disorders linked to GALT deficiency.
Product Name:
GALT Monoclonal Antibody
SKU:
CAB20966
Size:
20uL, 100uL
Isotype:
IgG
Host Species:
Rabbit
Reactivity:
Human
Immunogen:
A synthetic peptide corresponding to a sequence within amino acids 1-100 of human GALT (P07902).
Galactose-1-phosphate uridyl transferase (GALT) catalyzes the second step of the Leloir pathway of galactose metabolism, namely the conversion of UDP-glucose + galactose-1-phosphate to glucose-1-phosphate + UDP-galactose. The absence of this enzyme results in classic galactosemia in humans and can be fatal in the newborn period if lactose is not removed from the diet. The pathophysiology of galactosemia has not been clearly defined. Two transcript variants encoding different isoforms have been found for this gene.
Purification Method:
Affinity purification
Gene ID:
2592
Clone Number:
ARC2955
Storage Buffer:
Store at -20℃. Avoid freeze / thaw cycles.Buffer: PBS with 0.02% sodium azide,0.05% BSA,50% glycerol,pH7.3.
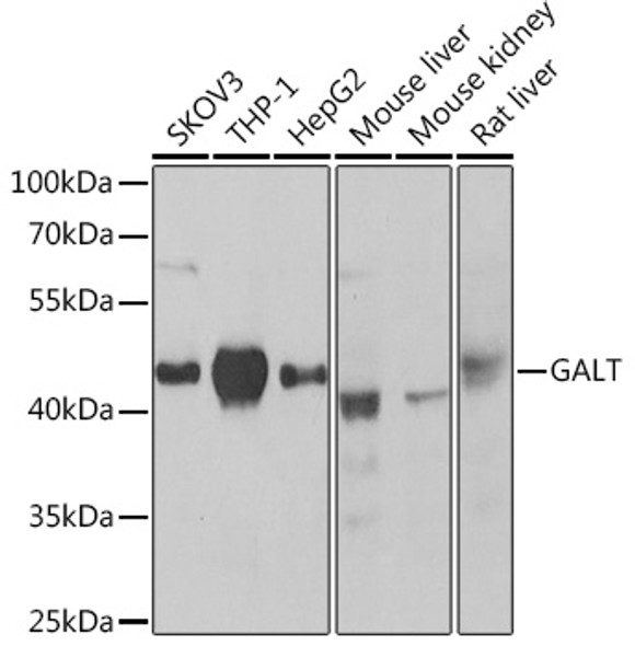
Western blot analysis of extracts of various cell lines, using GALT antibody (CAB20966) at 1:500 dilution.Secondary antibody: HRP Goat Anti-Rabbit IgG (H+L) (CABS014) at 1:10000 dilution.Lysates/proteins: 25μg per lane.Blocking buffer: 3% nonfat dry milk in TBST.Detection: ECL Basic Kit (AbGn00020).Exposure time: 90s.