The Anti-Alpha Actin 1 (ACTA1) Antibody (CAB2280) is a valuable tool for researchers studying ACTA1, a protein involved in muscle contraction and structure. This polyclonal antibody, produced in rabbits, has high reactivity with human samples and is validated for use in Western blot applications. By binding to the ACTA1 protein, this antibody allows for detection and analysis in various cell types, making it ideal for research in muscle biology and related fields.ACTA1, also known as alpha-actin-1 or skeletal muscle actin, is essential for muscle function and is expressed predominantly in skeletal muscle.
Mutations in the ACTA1 gene have been associated with various muscle disorders, making it a key target for studies on muscle development, function, and disease. The Anti-Alpha Actin 1 (ACTA1) Antibody (CAB2280) provides researchers with a valuable tool for investigating the role of ACTA1 in muscle physiology and pathology, offering insights into potential therapeutic strategies for muscle disorders and related conditions.
Product Name:
α-Actin-1 (ATCA1) Rabbit Monoclonal Antibody
SKU:
CAB2280
Size:
20uL, 100uL
Isotype:
IgG
Host Species:
Rabbit
Reactivity:
Human,Mouse,Rat
Immunogen:
A synthetic peptide corresponding to a sequence within amino acids 250-350 of human α-Actin-1 (ACTA1) (P68133).
Sequence:
ITIG NERF RCPE TLFQ PSFI GMES AGIH ETTY NSIM KCDI DIRK DLYA NNVM SGGT TMYP GIAD RMQK EITA LAPS TMKI KIIA PPER KYSV WIGG SILA S
The product encoded by this gene belongs to the actin family of proteins, which are highly conserved proteins that play a role in cell motility, structure and integrity. Alpha, beta and gamma actin isoforms have been identified, with alpha actins being a major constituent of the contractile apparatus, while beta and gamma actins are involved in the regulation of cell motility. This actin is an alpha actin that is found in skeletal muscle. Mutations in this gene cause a variety of myopathies, including nemaline myopathy, congenital myopathy with excess of thin myofilaments, congenital myopathy with cores, and congenital myopathy with fiber-type disproportion, diseases that lead to muscle fiber defects with manifestations such as hypotonia.
Purification Method:
Affinity purification
Gene ID:
58
Clone Number:
ARC1914
Storage Buffer:
Store at -20℃. Avoid freeze / thaw cycles.Buffer: PBS with 0.02% sodium azide,0.05% BSA,50% glycerol,pH7.3.
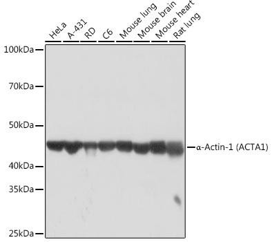
Western blot analysis of various lysates using α-Actin-1 (ACTA1) Rabbit mAb (CAB2280) at 1:1000 dilution.Secondary antibody: HRP Goat Anti-Rabbit IgG (H+L) (CABS014) at 1:10000 dilution.Lysates/proteins: 25μg per lane.Blocking buffer: 3% nonfat dry milk in TBST.Detection: ECL Basic Kit (AbGn00020).Exposure time: 10s.