The WDR62 Polyclonal Antibody (PAC031080) is a valuable tool for researchers studying the WDR62 protein, which is involved in brain development and microtubule organization. This antibody, produced in rabbits, shows high reactivity with human samples and has been validated for use in Western blot applications. By binding specifically to WDR62, it allows for the detection and analysis of this protein in a variety of cell types, making it ideal for studies in neuroscience and developmental biology.
WDR62 is a key player in regulating neural stem cell proliferation and differentiation, making it essential for normal brain development. Mutations in the WDR62 gene have been associated with a range of neurodevelopmental disorders, highlighting the importance of understanding its function. By studying WDR62, researchers can gain insights into conditions such as microcephaly and intellectual disabilities, paving the way for potential therapeutic interventions in the future.
Antibody Name:
WDR62 Antibody (PACO31080)
Antibody SKU:
PACO31080
Size:
50ug
Host Species:
Rabbit
Tested Applications:
ELISA, IHC
Recommended Dilutions:
ELISA:1:2000-1:10000, IHC:1:20-1:200
Species Reactivity:
Human
Immunogen:
Recombinant Human WD repeat-containing protein 62 protein (889-1188AA)
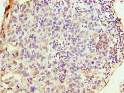
Immunohistochemistry of paraffin-embedded human bladder cancer using PACO31080 at dilution of 1:100.
Background:
Required for cerebral cortical development. Plays a role in neuronal proliferation and migration. Plays a role in mother-centriole-dependent centriole duplication; the function seems also to involve CEP152, CDK5RAP2 and CEP63 through a stepwise assembled complex at the centrosome that recruits CDK2 required for centriole duplication.
Synonyms:
WD repeat-containing protein 62, WDR62, C19orf14
UniProt Protein Function:
Required for cerebral cortical development. Plays a role in neuronal proliferation and migration (PubMed:20890278, PubMed:20729831). Plays a role in mother-centriole-dependent centriole duplication; the function seems also to involve CEP152, CDK5RAP2 and CEP63 through a stepwise assembled complex at the centrosome that recruits CDK2 required for centriole duplication (PubMed:26297806).
UniProt Protein Details:
NCBI Summary:
This gene is proposed to play a role in cerebral cortical development. Mutations in this gene have been associated with microencephaly, cortical malformations, and mental retardation. Alternative splicing results in multiple transcript variants. [provided by RefSeq, Jan 2011]