The TRMT61A Polyclonal Antibody (CAB10597) is a valuable tool for researchers studying TRMT61A, a protein involved in tRNA methylation and essential for protein translation. This antibody, produced in rabbits, exhibits high reactivity with human samples and has been validated for use in Western blot applications. By targeting the TRMT61A protein, this antibody allows for the detection and analysis of TRMT61A expression in various cell types, making it ideal for investigations in molecular biology and cancer research.TRMT61A plays a crucial role in maintaining the accuracy and efficiency of protein synthesis by ensuring proper tRNA modification.
Dysregulation of TRMT61A has been linked to various diseases, including cancer and neurological disorders. Understanding the function of TRMT61A is essential for developing targeted therapies that can modulate protein translation and potentially treat these conditions. The TRMT61A Polyclonal Antibody is a valuable tool for researchers interested in exploring the role of TRMT61A in health and disease.
Product Name:
TRMT61A Rabbit Polyclonal Antibody
SKU:
CAB10597
Size:
20uL, 100uL
Isotype:
IgG
Host Species:
Rabbit
Reactivity:
Human,Mouse,Rat
Immunogen:
Recombinant fusion protein containing a sequence corresponding to amino acids 1-289 of human TRMT61A (NP_689520.2).
Enables mRNA (adenine-N1-)-methyltransferase activity. Involved in mRNA methylation. Predicted to be located in nucleoplasm. Predicted to be part of tRNA (m1A) methyltransferase complex. Predicted to be active in nucleus.
Purification Method:
Affinity purification
Gene ID:
115708
Storage Buffer:
Store at -20℃. Avoid freeze / thaw cycles.Buffer: PBS with 0.05% proclin300,50% glycerol,pH7.3.
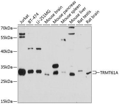
Western blot analysis of various lysates using TRMT61A Rabbit pAb (CAB10597) at 1:1000 dilution.Secondary antibody: HRP Goat Anti-Rabbit IgG (H+L) (CABS014) at 1:10000 dilution.Lysates/proteins: 25μg per lane.Blocking buffer: 3% nonfat dry milk in TBST.Detection: ECL Basic Kit (AbGn00020).Exposure time: 30s.