The TNF Monoclonal Antibody (CAB21265) is a cutting-edge tool for researchers investigating tumor necrosis factor (TNF), a key player in inflammation and immune response. This monoclonal antibody, derived from mouse hybridoma cells, is highly specific for TNF and has been validated for use in various experimental applications, including ELISA, immunohistochemistry, and flow cytometry.TNF is a cytokine that plays a critical role in inflammation and the regulation of immune cells. Dysregulation of TNF signaling has been implicated in numerous diseases, including autoimmune disorders, inflammatory conditions, and cancer.
By targeting TNF with this high-quality monoclonal antibody, researchers can accurately detect and quantify TNF levels in biological samples, aiding in the understanding of TNF's role in disease pathogenesis and potential therapeutic interventions.Furthermore, the TNF Monoclonal Antibody (CAB21265) offers researchers the opportunity to explore novel treatment strategies targeting TNF in various disease contexts. With its high specificity and sensitivity, this antibody is an invaluable tool for advancing research in immunology, inflammation, and oncology.
Product Name:
TNF-α Monoclonal Antibody
SKU:
CAB21265
Size:
20uL, 100uL
Isotype:
IgG
Host Species:
Rabbit
Reactivity:
Human
Immunogen:
Recombinant fusion protein containing a sequence corresponding to amino acids 77-233 of human TNF-α (NP_000585.2).
This gene encodes a multifunctional proinflammatory cytokine that belongs to the tumor necrosis factor (TNF) superfamily. This cytokine is mainly secreted by macrophages. It can bind to, and thus functions through its receptors TNFRSF1A/TNFR1 and TNFRSF1B/TNFBR. This cytokine is involved in the regulation of a wide spectrum of biological processes including cell proliferation, differentiation, apoptosis, lipid metabolism, and coagulation. This cytokine has been implicated in a variety of diseases, including autoimmune diseases, insulin resistance, psoriasis, rheumatoid arthritis ankylosing spondylitis, tuberculosis, autosomal dominant polycystic kidney disease, and cancer. Mutations in this gene affect susceptibility to cerebral malaria, septic shock, and Alzheimer disease. Knockout studies in mice also suggested the neuroprotective function of this cytokine.
Purification Method:
Affinity purification
Gene ID:
7124
Clone Number:
ARC52538
Storage Buffer:
Store at -20℃. Avoid freeze / thaw cycles.Buffer: PBS with 0.05% proclin300,0.05% BSA,50% glycerol,pH7.3.
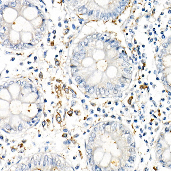
Immunohistochemistry analysis of paraffin-embedded human colon using TNF-α Rabbit mAb (CAB21265) at dilution of 1:1000(40x lens).Perform high pressure antigen retrieval with 10 mM citrate buffer pH 6.0 before commencing with IHC staining protocol.
Sally M. Khadrawy et al.
Royal Jelly and Chlorella vulgaris Mitigate Gibberellic Acid-Induced Cytogenotoxicity and Hepatotoxicity in Rats via Modulation of the PPARα/AP-1 Signaling Pathway and Suppression of Oxidative Stress and Inflammation