Description
Anti-TCTP Antibody (CAB2394)
The TCTP Rabbit Monoclonal Antibody (CAB2394) is a valuable tool for research involving Translationally Controlled Tumor Protein (TCTP), a highly conserved protein with diverse functions in cell growth, apoptosis, and cancer. The antibody, generated using rabbit monoclonal technology, exhibits high specificity and sensitivity in detecting TCTP in various samples, making it ideal for use in Western blot, immunohistochemistry, and immunofluorescence applications.TCTP, also known as fortilin, has been implicated in multiple cellular processes including cell proliferation, anti-apoptosis, and cell survival under stress conditions.
Its dysregulation has been linked to tumor progression and resistance to chemotherapy, making it a promising target for cancer research and therapeutic development. The TCTP Rabbit Monoclonal Antibody provides researchers with a reliable tool to study the expression and function of TCTP in cancer biology and other related fields, ultimately contributing to the advancement of knowledge and potential treatment strategies in oncology.
| Antibody Name: | Anti-TCTP Antibody |
| Antibody SKU: | CAB2394 |
| Antibody Size: | 20uL, 50uL, 100uL |
| Application: | WB IHC IP |
| Reactivity: | Human, Mouse, Rat |
| Host Species: | Rabbit |
| Immunogen: | A synthesized peptide derived from human TCTP |
| Application: | WB IHC IP |
| Recommended Dilution: | WB 1:500 - 1:2000 IHC 1:50 - 1:200 IP 1:50 - 1:200 |
| Reactivity: | Human, Mouse, Rat |
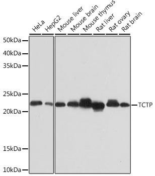
| Positive Samples: | HeLa, HepG2, Mouse liver, Mouse brain, Mouse thymus, Rat liver, Rat ovary, Rat brain |
| Immunogen: | A synthesized peptide derived from human TCTP |
| Purification Method: | Affinity purification |
| Storage Buffer: | Store at -20'C. Avoid freeze / thaw cycles. Buffer: PBS with 0.02% sodium azide, 0.05% BSA, 50% glycerol, pH7.3. |
| Isotype: | IgG |
| Sequence: | Email for sequence |
| Gene ID: | 7178 |
| Uniprot: | P13693 |
| Cellular Location: | Cytoplasm |
| Calculated MW: | 20kDa |
| Observed MW: | 23kDa |
| Synonyms: | HRF, TCTP, p02, p23 |
| Background: |
| UniProt Protein Function: | TPT1: a novel heat shock protein with antiapoptotic and chaperone-like activity. Its levels are highly regulated in response to various cellular stimuli and stresses. Downregulated in response to proapoptotic treatments that induce Ca(++) stress, in a PKR-dependent manner. Colocalizes with CHFR to the mitotic spindle. Appears to be involved in calcium binding and microtubule stabilization. Its exosomal secretion is induced following DNA damage. Interacts with MCL1 and STEAP3, a p53-inducible transmembrane protein that facilitates the exosomal secretion of TPT1. Secreted TPT1 acts as a histamine-releasing factor, participates in inflammatory responses by inducing the release of histamine, and may play a role in tumor reversion. May play a direct role in placental calcium transport. Phosphorylation by Plk may decrease its microtubule-stabilizing activity and promote microtubule dynamics following metaphase. Critical for peripheral T cell maintenance and TCR-mediated cell proliferation. |
| UniProt Protein Details: | Protein type:Calcium-binding; Microtubule-binding Chromosomal Location of Human Ortholog: 13q14 Cellular Component: multivesicular body; extracellular space; tubulin complex; cytoplasm; nucleus Molecular Function:protein binding; calcium ion binding Biological Process: regulation of apoptosis; cellular calcium ion homeostasis; response to virus; calcium ion transport; negative regulation of apoptosis |
| UniProt Code: | P13693 |
| NCBI GenInfo Identifier: | 136479 |
| NCBI Gene ID: | 7178 |
| NCBI Accession: | P13693.1 |
| UniProt Secondary Accession: | P13693,Q6YLS2, Q7Z4J4, Q8TBK7, Q96EE2, Q9UC70, B2R7E5 |
| UniProt Related Accession: | P13693 |
| Molecular Weight: | 172 |
| NCBI Full Name: | Translationally-controlled tumor protein |
| NCBI Synonym Full Names: | tumor protein, translationally-controlled 1 |
| NCBI Official Symbol: | TPT1 |
| NCBI Official Synonym Symbols: | HRF; p02; p23; TCTP |
| NCBI Protein Information: | translationally-controlled tumor protein; fortilin; histamine-releasing factor |
| UniProt Protein Name: | Translationally-controlled tumor protein |
| UniProt Synonym Protein Names: | Fortilin; Histamine-releasing factor; HRF; p23 |
| Protein Family: | TPT1-like protein |
| UniProt Gene Name: | TPT1 |
| UniProt Entry Name: | TCTP_HUMAN |
