The TCF7L1 Polyclonal Antibody is a valuable tool for researchers studying the TCF7L1 protein, a key transcription factor involved in stem cell pluripotency and embryonic development. This antibody, raised in rabbits, exhibits high specificity and sensitivity for human samples, making it suitable for use in Western blotting and immunofluorescence applications.TCF7L1, also known as T-cell factor 7 like 1 or TCF3, is a crucial regulator of gene expression during early embryogenesis and plays a role in maintaining stem cell populations. Dysregulation of TCF7L1 has been implicated in various diseases, including cancer and developmental disorders.
By using this antibody to detect and analyze TCF7L1 expression in different cell types, researchers can further explore its function and potential therapeutic applications.Investigating the role of TCF7L1 in cellular differentiation, tissue development, and disease pathogenesis is essential for advancing our understanding of stem cell biology and identifying novel targets for therapeutic intervention. The TCF7L1 Polyclonal Antibody is a valuable resource for researchers looking to delve deeper into the complex mechanisms underlying these biological processes.
Product Name:
TCF7L1 Polyclonal Antibody
SKU:
CAB9006
Size:
20uL, 100uL
Isotype:
IgG
Host Species:
Rabbit
Reactivity:
Human,Mouse,Rat
Immunogen:
Recombinant fusion protein containing a sequence corresponding to amino acids 260-340 of human TCF7L1 (NP_112573.1).
This gene encodes a member of the T cell factor/lymphoid enhancer factor family of transcription factors. These transcription factors are activated by beta catenin, mediate the Wnt signaling pathway and are antagonized by the transforming growth factor beta signaling pathway. The encoded protein contains a high mobility group-box DNA binding domain and participates in the regulation of cell cycle genes and cellular senescence.
Purification Method:
Affinity purification
Gene ID:
83439
Storage Buffer:
Store at -20℃. Avoid freeze / thaw cycles.Buffer: PBS with 0.05% proclin300,50% glycerol,pH7.3.
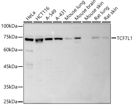
Western blot analysis of extracts of various cell lines, using TCF7L1 antibody (CAB9006) at 1:1000 dilution.Secondary antibody: HRP Goat Anti-Rabbit IgG (H+L) (CABS014) at 1:10000 dilution.Lysates/proteins: 25μg per lane.Blocking buffer: 3% nonfat dry milk in TBST.Detection: ECL Basic Kit (AbGn00020).Exposure time: 30s.