The Spermidine Synthase Polyclonal Antibody (CAB8151) is a valuable tool for researchers studying spermidine synthase, an enzyme involved in polyamine biosynthesis. This antibody, produced in rabbits, is highly specific to human samples and is validated for use in Western blot applications. By binding to the spermidine synthase protein, this antibody enables accurate detection and analysis in a variety of cell types, making it ideal for investigations in the fields of biochemistry and molecular biology.Spermidine synthase plays a crucial role in the regulation of polyamine levels, which are essential for cell growth, proliferation, and differentiation.
Dysregulation of polyamine metabolism has been linked to various diseases, including cancer and neurodegenerative disorders. By studying spermidine synthase, researchers can gain insight into the mechanisms underlying these conditions and potentially identify new targets for therapeutic intervention.Overall, the Spermidine Synthase Polyclonal Antibody is a valuable tool for researchers seeking to unravel the role of polyamines in health and disease. Its high specificity and sensitivity make it a reliable choice for investigations into spermidine synthase function and its potential implications for human health.
Product Name:
SRM Rabbit Polyclonal Antibody
SKU:
CAB8151
Size:
20uL, 100uL
Isotype:
IgG
Host Species:
Rabbit
Reactivity:
Human,Mouse,Rat
Immunogen:
Recombinant fusion protein containing a sequence corresponding to amino acids 1-302 of human SRM (NP_003123.2).
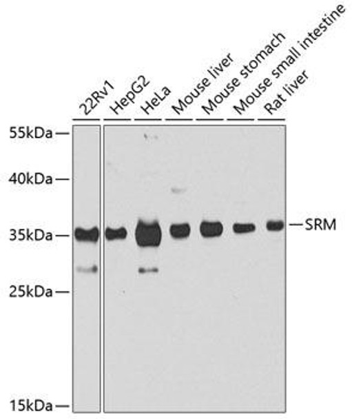
22Rv1,HepG2,HeLa,Mouse liver,Mouse stomach,Mouse small intestine,Rat liver
Conjugate:
Unconjugated
Cellular Localization:
cytosol
Calculated MW:
34kDa
Observed MW:
35kDa
The polyamines putrescine, spermine, and spermidine are ubiquitous polycationic mediators of cell growth and differentiation. Spermidine synthase is one of four enzymes in the polyamine-biosynthetic pathway and carries out the final step of spermidine biosynthesis. This enzyme catalyzes the conversion of putrescine to spermidine using decarboxylated S-adenosylmethionine as the cofactor.
Purification Method:
Affinity purification
Gene ID:
6723
Storage Buffer:
Store at -20℃. Avoid freeze / thaw cycles.Buffer: PBS with 0.02% sodium azide,50% glycerol,pH7.3.
Western blot analysis of extracts of various cell lines, using SRM antibody (CAB8151) at 1:1000 dilution.Secondary antibody: HRP Goat Anti-Rabbit IgG (H+L) (CABS014) at 1:10000 dilution.Lysates/proteins: 25μg per lane.Blocking buffer: 3% nonfat dry milk in TBST.Detection: ECL Basic Kit (AbGn00020).Exposure time: 10s.