The SBDS Polyclonal Antibody (CAB5876) is a key tool for researchers studying the Shwachman-Bodian-Diamond syndrome (SBDS) protein. This antibody, produced in rabbits, is highly specific to human SBDS protein and has been validated for use in Western blot applications. By binding to the SBDS protein, researchers can effectively detect and analyze this important molecule in a variety of cell types.The SBDS protein is known for its role in ribosome biogenesis and its association with the SBDS genetic disorder.
Research into the function and regulation of SBDS is crucial for understanding the molecular mechanisms underlying this syndrome and for potentially developing targeted therapies. The SBDS Polyclonal Antibody is a valuable tool for investigating the SBDS protein's involvement in ribosome assembly and its implications for human health.
Product Name:
SBDS Rabbit Polyclonal Antibody
SKU:
CAB5876
Size:
20uL, 100uL
Isotype:
IgG
Host Species:
Rabbit
Reactivity:
Human,Mouse,Rat
Immunogen:
Recombinant fusion protein containing a sequence corresponding to amino acids 1-250 of human SBDS (NP_057122.2).
This gene encodes a highly conserved protein that plays an essential role in ribosome biogenesis. The encoded protein interacts with elongation factor-like GTPase 1 to disassociate eukaryotic initiation factor 6 from the late cytoplasmic pre-60S ribosomal subunit allowing assembly of the 80S subunit. Mutations within this gene are associated with the autosomal recessive disorder Shwachman-Bodian-Diamond syndrome. This gene has a closely linked pseudogene that is distally located.
Purification Method:
Affinity purification
Gene ID:
51119
Storage Buffer:
Store at -20℃. Avoid freeze / thaw cycles.Buffer: PBS with 0.02% sodium azide,50% glycerol,pH7.3.
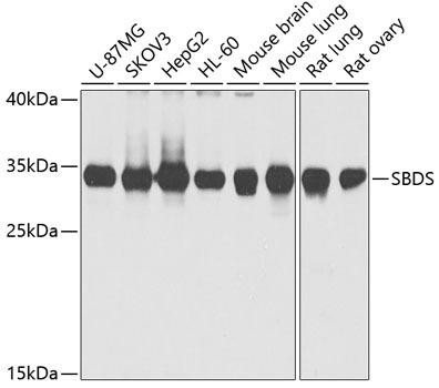
Western blot analysis of extracts of various cell lines, using SBDS antibody (CAB5876) at 1:1000 dilution.Secondary antibody: HRP Goat Anti-Rabbit IgG (H+L) (CABS014) at 1:10000 dilution.Lysates/proteins: 25μg per lane.Blocking buffer: 3% nonfat dry milk in TBST.Detection: ECL Basic Kit (AbGn00020).Exposure time: 15s.