The PSMA1 Rabbit Monoclonal Antibody (CAB3460) is a powerful tool for researchers studying PSMA1, a key component of the proteasome complex responsible for protein degradation. This antibody, developed using innovative monoclonal technology, exhibits high specificity and sensitivity for detecting PSMA1 in human samples. Validated for use in Western blot applications, this antibody enables precise and accurate detection of PSMA1 in various cell types.PSMA1, also known as the alpha subunit of the proteasome, plays a crucial role in maintaining cellular homeostasis by degrading proteins that are no longer needed or are damaged. Dysregulation of the proteasome system has been implicated in various diseases, including cancer, neurodegenerative disorders, and inflammatory conditions.
Understanding the function and regulation of PSMA1 is essential for unraveling the mechanisms underlying these diseases and developing targeted therapeutic strategies.Researchers in the fields of cell biology, molecular biology, and oncology will benefit from the high-quality PSMA1 Rabbit Monoclonal Antibody (CAB3460) for their studies on protein degradation, cell signaling, and disease mechanisms. Its reliability, specificity, and versatility make it a valuable tool for advancing scientific understanding and potential drug discovery efforts.
Product Name:
PSMA1 Rabbit Monoclonal Antibody
SKU:
CAB3460
Size:
20uL, 100uL
Isotype:
IgG
Host Species:
Rabbit
Reactivity:
Human,Mouse,Rat
Immunogen:
A synthetic peptide corresponding to a sequence within amino acids 164-263 of human PSMA1 (P25786).
The proteasome is a multicatalytic proteinase complex with a highly ordered ring-shaped 20S core structure. The core structure is composed of 4 rings of 28 non-identical subunits; 2 rings are composed of 7 alpha subunits and 2 rings are composed of 7 beta subunits. Proteasomes are distributed throughout eukaryotic cells at a high concentration and cleave peptides in an ATP/ubiquitin-dependent process in a non-lysosomal pathway. An essential function of a modified proteasome, the immunoproteasome, is the processing of class I MHC peptides. This gene encodes a member of the peptidase T1A family, that is a 20S core alpha subunit. Alternative splicing results in multiple transcript variants encoding distinct isoforms.
Purification Method:
Affinity purification
Gene ID:
5682
Clone Number:
ARC0780
Storage Buffer:
Store at -20℃. Avoid freeze / thaw cycles.Buffer: PBS with 0.02% sodium azide,0.05% BSA,50% glycerol,pH7.3.
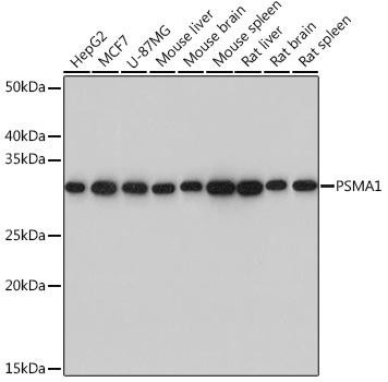
Western blot analysis of various lysates using PSMA1 Rabbit mAb (CAB3460) at 1:1000 dilution.Secondary antibody: HRP Goat Anti-Rabbit IgG (H+L) (CABS014) at 1:10000 dilution.Lysates/proteins: 25μg per lane.Blocking buffer: 3% nonfat dry milk in TBST.Detection: ECL Basic Kit (AbGn00020).Exposure time: 3s.