The PRPF4 Polyclonal Antibody (CAB6052) is a valuable tool for researchers studying the PRPF4 protein, an essential component of the spliceosome complex involved in pre-mRNA splicing. This antibody, produced in rabbits, exhibits high reactivity with human samples and has been validated for use in Western blot applications. By specifically binding to the PRPF4 protein, this antibody enables precise detection and analysis in a variety of cell types, making it an ideal choice for investigations in molecular biology and gene expression studies.PRPF4 is a key player in the splicing machinery, ensuring the accurate removal of introns and the proper assembly of exons in mRNA.
Dysregulation of this process can lead to aberrant gene expression and contribute to various diseases, including cancer and genetic disorders. By targeting PRPF4, researchers can gain insights into the mechanisms underlying these conditions and potentially identify new therapeutic targets for intervention.Overall, the PRPF4 Polyclonal Antibody is a valuable resource for advancing our understanding of RNA splicing and its implications for human health, offering researchers a reliable tool for precise detection and analysis of PRPF4 protein levels in experimental settings.
Product Name:
PRPF4 Rabbit Polyclonal Antibody
SKU:
CAB6052
Size:
20uL, 100uL
Isotype:
IgG
Host Species:
Rabbit
Reactivity:
Human,Mouse,Rat
Immunogen:
Recombinant fusion protein containing a sequence corresponding to amino acids 1-260 of human PRPF4 (NP_004688.2).
The protein encoded by this gene is part of a heteromeric complex that binds U4, U5, and U6 small nuclear RNAs and is involved in pre-mRNA splicing. The encoded protein also is a mitotic checkpoint protein and a regulator of chemoresistance in human ovarian cancer. Several transcript variants encoding different isoforms have been found for this gene.
Purification Method:
Affinity purification
Gene ID:
9128
Storage Buffer:
Store at -20℃. Avoid freeze / thaw cycles.Buffer: PBS with 0.02% sodium azide,50% glycerol,pH7.3.
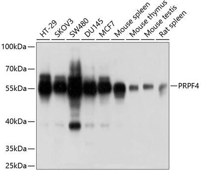
Western blot analysis of various lysates using PRPF4 Rabbit pAb (CAB6052) at 1:1000 dilution.Secondary antibody: HRP Goat Anti-Rabbit IgG (H+L) (CABS014) at 1:10000 dilution.Lysates/proteins: 25μg per lane.Blocking buffer: 3% nonfat dry milk in TBST.Detection: ECL Basic Kit (AbGn00020).Exposure time: 1s.