The POLR2G Polyclonal Antibody (CAB6838) is a valuable tool for research involving POLR2G, a subunit of RNA polymerase II that plays a crucial role in transcription. This antibody, generated in rabbits, exhibits high reactivity with human samples and has been validated for use in Western blot applications. By binding specifically to the POLR2G protein, this antibody allows for precise detection and analysis in a variety of cell types, making it an excellent choice for studies in molecular biology and gene regulation.POLR2G is essential for the accurate transcription of genetic information and is involved in the regulation of gene expression.
Understanding the function and activity of POLR2G is vital for unraveling the complexities of transcriptional control and gene regulation in both normal cellular processes and disease states. This antibody provides researchers with a reliable tool for investigating the role of POLR2G in various biological processes and can contribute to advancements in fields such as genetics, genomics, and molecular biology.
Product Name:
POLR2G Rabbit Polyclonal Antibody
SKU:
CAB6838
Size:
20uL, 100uL
Isotype:
IgG
Host Species:
Rabbit
Reactivity:
Human,Mouse,Rat
Immunogen:
Recombinant fusion protein containing a sequence corresponding to amino acids 1-172 of human POLR2G (NP_002687.1).
This gene encodes the seventh largest subunit of RNA polymerase II, the polymerase responsible for synthesizing messenger RNA in eukaryotes. The protein functions in transcription initiation, and is also thought to help stabilize transcribing polyermase molecules during elongation.
Purification Method:
Affinity purification
Gene ID:
5436
Storage Buffer:
Store at -20℃. Avoid freeze / thaw cycles.Buffer: PBS with 0.02% sodium azide,50% glycerol,pH7.3.
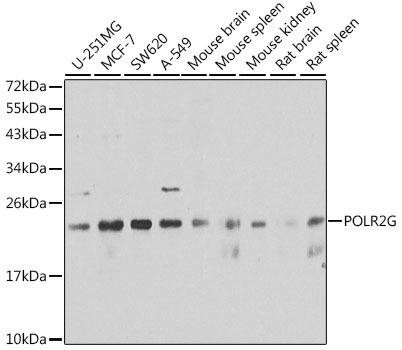
Western blot analysis of extracts of various cell lines, using POLR2G antibody (CAB6838) at 1:1000 dilution.Secondary antibody: HRP Goat Anti-Rabbit IgG (H+L) (CABS014) at 1:10000 dilution.Lysates/proteins: 25μg per lane.Blocking buffer: 3% nonfat dry milk in TBST.Detection: ECL Basic Kit (AbGn00020).Exposure time: 10s.