The Phospho-IGF-I Receptor (Tyr1135/1136) / Insulin Receptor (Tyr1150/1151) Polyclonal Antibody is a valuable tool for researchers studying the phosphorylation of IGF-I and insulin receptors. This antibody, raised in rabbits, is highly specific for phosphorylated forms of these receptors and is validated for use in Western blot applications.IGF-I and insulin receptors play key roles in regulating cell growth, differentiation, and metabolism, making them important targets for research in cancer, diabetes, and other diseases. Phosphorylation of these receptors is a critical step in their activation, and studying this process can provide insights into the mechanisms underlying their functions.
This antibody allows for the detection and analysis of phosphorylated IGF-I and insulin receptors in various cell types, providing researchers with a valuable tool for investigating signaling pathways and potential therapeutic targets related to these receptors. Its high reactivity and specificity make it an essential component of any study focusing on IGF-I and insulin receptor signaling.
axon, caveola, dendrite membrane, external side of plasma membrane, extracellular exosome, late endosome, lysosome, plasma membrane
Calculated MW:
156kDa
Observed MW:
102kDa
This gene encodes a member of the receptor tyrosine kinase family of proteins. The encoded preproprotein is proteolytically processed to generate alpha and beta subunits that form a heterotetrameric receptor. Binding of insulin or other ligands to this receptor activates the insulin signaling pathway, which regulates glucose uptake and release, as well as the synthesis and storage of carbohydrates, lipids and protein. Mutations in this gene underlie the inherited severe insulin resistance syndromes including type A insulin resistance syndrome, Donohue syndrome and Rabson-Mendenhall syndrome. Alternative splicing results in multiple transcript variants.This receptor binds insulin-like growth factor with a high affinity. It has tyrosine kinase activity. The insulin-like growth factor I receptor plays a critical role in transformation events. Cleavage of the precursor generates alpha and beta subunits. It is highly overexpressed in most malignant tissues where it functions as an anti-apoptotic agent by enhancing cell survival. Alternatively spliced transcript variants encoding distinct isoforms have been found for this gene.
Purification Method:
Affinity purification
Gene ID:
3643/3480
Storage Buffer:
Store at -20℃. Avoid freeze / thaw cycles.Buffer: PBS with 0.05% proclin300,50% glycerol,pH7.3.
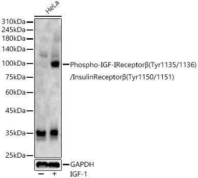
Western blot analysis of HeLa, using Phospho-IGF-IReceptorβ(Tyr1135/1136)/InsulinReceptorβ(Tyr1150/1151) antibody (CABP1352) at 1:2000 dilution.HeLa cells were treated by IGF-1 (50 ng/ml) at 37℃ for 30 minutes after serum-starvation overnight.Secondary antibody: HRP Goat Anti-Rabbit IgG (H+L) (CABS014) at 1:10000 dilution.Lysates/proteins: 25μg per lane.Blocking buffer: 3% nonfat dry milk in TBST.Detection: ECL Basic Kit (AbGn00020).Exposure time: 20s.