Pepsinogen II (PG II) Monoclonal Antibody (CAB22282)
The Pepsinogen II (PG II) Monoclonal Antibody (CAB22282) is a vital tool for researchers studying pepsinogen II, an important protein involved in gastric physiology and gastrointestinal health. This monoclonal antibody specifically recognizes PG II and is suitable for various research applications, including immunohistochemistry and ELISA.Pepsinogen II is a precursor enzyme secreted by the stomach's mucous membrane, which plays a key role in the digestive process by eventually converting into pepsin, an enzyme that helps break down proteins.
Elevated levels of PG II have been linked to certain gastrointestinal disorders, making it a potential biomarker for diagnostic purposes.This antibody, produced through monoclonal techniques, offers high specificity and sensitivity in detecting PG II protein in human samples, enabling accurate analysis and quantification. Its utility in various experimental settings makes it an invaluable tool for scientists interested in understanding the role of PG II in gastric health, digestive disorders, and related diseases.
Product Name:
Pepsinogen II (PG II) Monoclonal Antibody
SKU:
CAB22282
Size:
20uL, 100uL
Isotype:
IgG
Host Species:
Rabbit
Reactivity:
Human,Mouse,Rat
Immunogen:
Recombinant fusion protein containing a sequence corresponding to amino acids 1-388 of human Pepsinogen II (PG II) (NP_002621.1).
This gene encodes an aspartic proteinase that belongs to the peptidase family A1. The encoded protein is a digestive enzyme that is produced in the stomach and constitutes a major component of the gastric mucosa. This protein is also secreted into the serum. This protein is synthesized as an inactive zymogen that includes a highly basic prosegment. This enzyme is converted into its active mature form at low pH by sequential cleavage of the prosegment that is carried out by the enzyme itself. Polymorphisms in this gene are associated with susceptibility to gastric cancers. Serum levels of this enzyme are used as a biomarker for certain gastric diseases including Helicobacter pylori related gastritis. Alternate splicing results in multiple transcript variants. A pseudogene of this gene is found on chromosome 1.
Purification Method:
Affinity purification
Gene ID:
5225
Clone Number:
ARC57717
Storage Buffer:
Store at -20℃. Avoid freeze / thaw cycles.Buffer: PBS with 0.05% proclin300,0.05% BSA,50% glycerol,pH7.3.
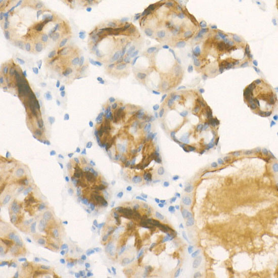
Immunohistochemistry analysis of paraffin-embedded human stomach using Pepsinogen II (PG II) Rabbit mAb (CAB22282) at dilution of 1:100(40x lens).Perform high pressure antigen retrieval with 10 mM citrate buffer pH 6.0 before commencing with IHC staining protocol.