The NFS1 Polyclonal Antibody (CAB6668) is a valuable tool for researchers studying NFS1, a critical protein involved in iron-sulfur cluster biogenesis and cellular metabolism. This antibody, developed in rabbits, specifically targets NFS1 in human samples and is validated for use in Western blot applications. By binding to the NFS1 protein, this antibody allows for the accurate detection and analysis of NFS1 levels in a variety of cell types, making it a useful resource for studies in biochemistry and molecular biology.NFS1 is essential for the proper functioning of several important cellular processes, including DNA repair, regulation of gene expression, and oxidative stress response.
Dysregulation of NFS1 has been linked to various diseases, such as neurodegenerative disorders and cancer, making it a promising target for therapeutic interventions. By investigating the role of NFS1 in these disease pathways, researchers can gain valuable insights into potential treatment strategies aimed at restoring cellular homeostasis and preventing disease progression.
Product Name:
NFS1 Rabbit Polyclonal Antibody
SKU:
CAB6668
Size:
20uL, 100uL
Isotype:
IgG
Host Species:
Rabbit
Reactivity:
Human,Mouse,Rat
Immunogen:
Recombinant fusion protein containing a sequence corresponding to amino acids 290-457 of human NFS1 (NP_066923.3).
Iron-sulfur clusters are required for the function of many cellular enzymes. The proteins encoded by this gene supply inorganic sulfur to these clusters by removing the sulfur from cysteine, creating alanine in the process. This gene uses alternate in-frame translation initiation sites to generate mitochondrial forms and cytoplasmic/nuclear forms. Selection of the alternative initiation sites is determined by the cytosolic pH. The encoded proteins belong to the class-V family of pyridoxal phosphate-dependent aminotransferases. Alternatively spliced transcript variants have been described.
Purification Method:
Affinity purification
Gene ID:
9054
Storage Buffer:
Store at -20℃. Avoid freeze / thaw cycles.Buffer: PBS with 0.01% thimerosal,50% glycerol,pH7.3.
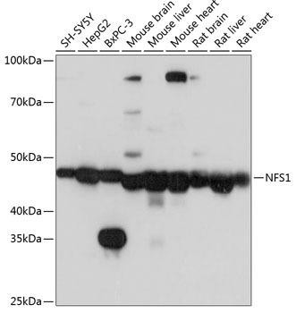
Western blot analysis of various lysates using NFS1 Rabbit pAb (CAB6668) at 1:1000 dilution.Secondary antibody: HRP Goat Anti-Rabbit IgG (H+L) (CABS014) at 1:10000 dilution.Lysates/proteins: 25μg per lane.Blocking buffer: 3% nonfat dry milk in TBST.Detection: ECL Basic Kit (AbGn00020).Exposure time: 3s.