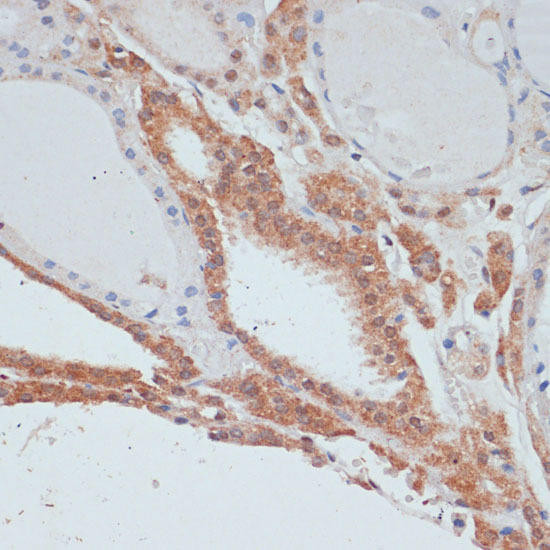
The Myc Binding Protein (MYCBP) Polyclonal Antibody (CAB4623) is a valuable tool for researchers studying Myc Binding Protein, a key regulator of cell proliferation and metabolism. This antibody, raised in rabbits, is highly specific to human samples and has been validated for use in various applications, including Western blot and immunohistochemistry.Myc Binding Protein, also known as JPO1, interacts with the Myc oncogene to regulate gene expression and promote cell growth.
Dysregulation of this pathway has been implicated in cancer development and progression, making it an important target for therapeutic intervention. The MYCBP Polyclonal Antibody allows for the detection and analysis of Myc Binding Protein in a variety of cell types, providing researchers with crucial insights into its function and potential as a therapeutic target in cancer research.
Product Name:
MYCBP Rabbit Polyclonal Antibody
SKU:
CAB4623
Size:
20uL, 100uL
Isotype:
IgG
Host Species:
Rabbit
Reactivity:
Human
Immunogen:
Recombinant fusion protein containing a sequence corresponding to amino acids 1-103 of human MYCBP (NP_036465.2).
The protein encoded by this gene binds to the N-terminus of the oncogenic protein C-MYC, enhancing the ability of C-MYC to activate E box-dependent transcription. The encoded protein is normally found in the cytoplasm, but it translocates to the nucleus during S phase of the cell cycle and associates with C-MYC. This protein may be involved in spermatogenesis. This gene can be silenced by microRNA-22. Two transcript variants, one protein-coding and the other probably not protein-coding, have been found for this gene.
Purification Method:
Affinity purification
Gene ID:
26292
Storage Buffer:
Store at -20℃. Avoid freeze / thaw cycles.Buffer: PBS with 0.01% thimerosal,50% glycerol,pH7.3.
Western blot analysis of various lysates using MYCBP Rabbit pAb (CAB4623) at 1:3000 dilution.Secondary antibody: HRP Goat Anti-Rabbit IgG (H+L) (CABS014) at 1:10000 dilution.Lysates/proteins: 25μg per lane.Blocking buffer: 3% nonfat dry milk in TBST.Detection: ECL Enhanced Kit (AbGn00021).Exposure time: 90s.