The MT1A Polyclonal Antibody (PACO33828) is a vital tool for researchers studying the MT1A protein, which plays a crucial role in metal homeostasis and detoxification in cells. This antibody, generated in rabbits, exhibits strong reactivity with human samples and has been validated for use in Western blot applications. By specifically binding to the MT1A protein, researchers can accurately detect and analyze this important target in a variety of cell types.MT1A is a key player in regulating the levels of toxic metals such as cadmium and zinc within cells, making it essential for maintaining cellular function and protecting against heavy metal toxicity.
Research into the function of MT1A is invaluable for understanding how cells respond to environmental toxins and metal overload, with implications for diseases such as neurodegenerative disorders, metal poisoning, and cancer.With its high specificity and sensitivity, the MT1A Polyclonal Antibody (PACO33828) is an indispensable tool for researchers investigating the role of MT1A in metal detoxification processes and its potential contribution to disease pathogenesis. Its utility in immunological and cancer research makes it a valuable asset for studies aimed at unlocking the mysteries of metal homeostasis and its impact on cellular health.
Antibody Name:
MT1A Antibody (PACO33828)
Antibody SKU:
PACO33828
Size:
50ug
Host Species:
Rabbit
Tested Applications:
ELISA, IHC
Recommended Dilutions:
ELISA:1:2000-1:10000, IHC:1:20-1:200
Species Reactivity:
Human
Immunogen:
Recombinant Human Metallothionein-1A protein (1-59AA)
Immunohistochemistry of paraffin-embedded human prostate tissue using PACO33828 at dilution of 1:100.
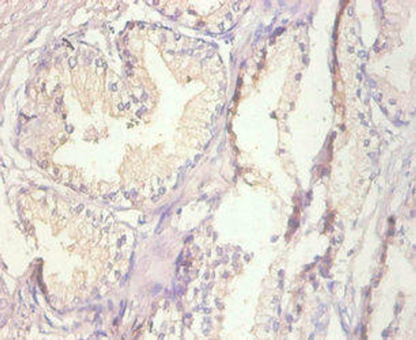
Immunohistochemistry of paraffin-embedded human small intestine tissue using PACO33828 at dilution of 1:100.
Immunohistochemistry of paraffin-embedded human kidney tissue using PACO33828 at dilution of 1:100.
Background:
Metallothioneins have a high content of cysteine residues that bind various heavy metals; these proteins are transcriptionally regulated by both heavy metals and glucocorticoids.
Function: Metallothioneins have a high content of cysteine residues that bind various heavy metals; these proteins are transcriptionally regulated by both heavy metals and glucocorticoids.
UniProt Protein Details:
Subunit structure: Monomer.
Domain: Class I metallothioneins contain 2 metal-binding domains: four divalent ions are chelated within cluster A of the alpha domain and are coordinated via cysteinyl thiolate bridges to 11 cysteine ligands. Cluster B, the corresponding region within the beta domain, can ligate three divalent ions to 9 cysteines.
Sequence similarities: Belongs to the metallothionein superfamily. Type 1 family.