Description
KDM5C Antibody (PACO20825)
The KDM5C Antibody (PAC020825) is a high-quality polyclonal antibody designed for research involving the KDM5C protein. KDM5C, also known as lysine-specific demethylase 5C, is a histone demethylase enzyme that plays a crucial role in regulating gene expression. This antibody, raised in rabbits, specifically targets KDM5C and is highly reactive with human samples.Validated for use in Western blot applications, the KDM5C Antibody enables researchers to detect and analyze the expression of KDM5C in various cell types. This makes it an ideal tool for studies in epigenetics, cancer research, and developmental biology.
By targeting KDM5C, researchers can gain valuable insights into the role of this enzyme in chromatin remodeling and gene regulation.Understanding the function of KDM5C is essential for unraveling its involvement in diseases such as cancer, neurodevelopmental disorders, and other conditions linked to epigenetic dysregulation. The KDM5C Antibody provides a reliable tool for investigating the mechanisms by which KDM5C influences gene expression, paving the way for the development of targeted therapies that modulate epigenetic pathways.
| Antibody Name: | KDM5C Antibody (PACO20825) |
| Antibody SKU: | PACO20825 |
| Size: | 50ul |
| Host Species: | Rabbit |
| Tested Applications: | ELISA, IHC |
| Recommended Dilutions: | ELISA:1:2000-1:10000, IHC:1:30-1:150 |
| Species Reactivity: | Human |
| Immunogen: | Synthetic peptide of human KDM5C |
| Form: | Liquid |
| Storage Buffer: | -20°C, pH7.4 PBS, 0.05% NaN3, 40% Glycerol |
| Purification Method: | Antigen affinity purification |
| Clonality: | Polyclonal |
| Isotype: | IgG |
| Conjugate: | Non-conjugated |
![]() | The image on the left is immunohistochemistry of paraffin-embedded Human thyroid cancer tissue using PACO20825(KDM5C Antibody) at dilution 1/45, on the right is treated with synthetic peptide. (Original magnification: x200). |
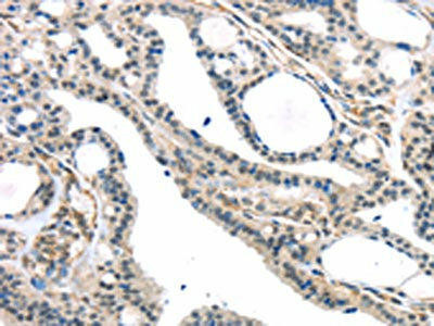
![]() | The image on the left is immunohistochemistry of paraffin-embedded Human breast cancer tissue using PACO20825(KDM5C Antibody) at dilution 1/45, on the right is treated with synthetic peptide. (Original magnification: x200). |
| Background: | This gene is a member of the SMCY homolog family and encodes a protein with one ARID domain, one JmjC domain, one JmjN domain and two PHD-type zinc fingers. The DNA-binding motifs suggest this protein is involved in the regulation of transcription and chromatin remodeling. Mutations in this gene have been associated with X-linked mental retardation. Alternative splicing results in multiple transcript variants. |
| Synonyms: | lysine (K)-specific demethylase 5C |
| UniProt Protein Function: | JARID1C: Histone demethylase that specifically demethylates 'Lys- 4' of histone H3, thereby playing a central role in histone code. Does not demethylate histone H3 'Lys-9', H3 'Lys-27', H3 'Lys-36', H3 'Lys-79' or H4 'Lys-20'. Demethylates trimethylated and dimethylated but not monomethylated H3 'Lys-4'. Participates in transcriptional repression of neuronal genes by recruiting histone deacetylases and REST at neuron-restrictive silencer elements. Part of two distinct complexes, one containing E2F6, and the other containing REST. Expressed in all tissues examined. Highest levels found in brain and skeletal muscle. Belongs to the JARID1 histone demethylase family. 4 isoforms of the human protein are produced by alternative splicing. |
| UniProt Protein Details: | Protein type:EC 1.14.11.-; Oxidoreductase; Demethylase Chromosomal Location of Human Ortholog: Xp11.22-p11.21 Cellular Component: nucleoplasm; nucleus Molecular Function:histone demethylase activity (H3-K4 specific); DNA binding; zinc ion binding; oxidoreductase activity, acting on paired donors, with incorporation or reduction of molecular oxygen, 2-oxoglutarate as one donor, and incorporation of one atom each of oxygen into both donors Biological Process: establishment and/or maintenance of chromatin architecture; transcription, DNA-dependent; rhythmic process; negative regulation of transcription, DNA-dependent Disease: Mental Retardation, X-linked, Syndromic, Claes-jensen Type |
| NCBI Summary: | This gene is a member of the SMCY homolog family and encodes a protein with one ARID domain, one JmjC domain, one JmjN domain and two PHD-type zinc fingers. The DNA-binding motifs suggest this protein is involved in the regulation of transcription and chromatin remodeling. Mutations in this gene have been associated with X-linked cognitive disability. Alternative splicing results in multiple transcript variants. [provided by RefSeq, Apr 2009] |
| UniProt Code: | P41229 |
| NCBI GenInfo Identifier: | 117949812 |
| NCBI Gene ID: | 8242 |
| NCBI Accession: | P41229.2 |
| UniProt Related Accession: | P41229 |
| Molecular Weight: | 155kDa; 170kDa; 175kDa |
| NCBI Full Name: | Lysine-specific demethylase 5C |
| NCBI Synonym Full Names: | lysine demethylase 5C |
| NCBI Official Symbol: | KDM5C |
| NCBI Official Synonym Symbols: | MRXJ; SMCX; MRX13; MRXSJ; XE169; MRXSCJ; JARID1C; DXS1272E |
| NCBI Protein Information: | lysine-specific demethylase 5C |
| UniProt Protein Name: | Lysine-specific demethylase 5C |
| UniProt Synonym Protein Names: | Histone demethylase JARID1C; Jumonji/ARID domain-containing protein 1C; Protein SmcX; Protein Xe169 |
| Protein Family: | Lysine-specific demethylase |
| UniProt Gene Name: | KDM5C |
| UniProt Entry Name: | KDM5C_HUMAN |

