The HPCAL1 Polyclonal Antibody is a high-quality antibody specifically designed for research involving HPCAL1, a calcium-binding protein implicated in various cellular functions. This antibody, produced using rabbits, exhibits high reactivity with human samples and has been validated for use in Western blot applications. By binding to the HPCAL1 protein, this antibody enables precise detection and analysis in a wide range of cell types, making it an excellent tool for studies in neuroscience, cell signaling, and cancer research.HPCAL1, also known as hippocalcin, plays a crucial role in calcium signaling pathways and neuronal function, making it a key player in processes such as synaptic plasticity and neurotransmitter release.
Understanding the function of HPCAL1 is essential for unraveling its implications in diseases like Alzheimer's, Parkinson's, and epilepsy, where disruptions in calcium signaling are prevalent. By studying the role of HPCAL1, researchers can uncover potential therapeutic targets for these neurological disorders and develop novel treatment strategies.
Product Name:
HPCAL1 Polyclonal Antibody
SKU:
CAB21455
Size:
20uL, 100uL
Isotype:
IgG
Host Species:
Rabbit
Reactivity:
Human,Mouse,Rat
Immunogen:
Recombinant fusion protein containing a sequence corresponding to amino acids 1-193 of human HPCAL1 (NP_002140.2).
WB,1:500 - 1:2000 IP,0.5μg-4μg antibody for 200μg-400μg extracts of whole cells
Synonyms:
BDR1; HLP2; VILIP-3; HPCAL1
Conjugate:
Unconjugated
Cellular Localization:
Lipid-anchor, Membrane.
Calculated MW:
22kDa
Observed MW:
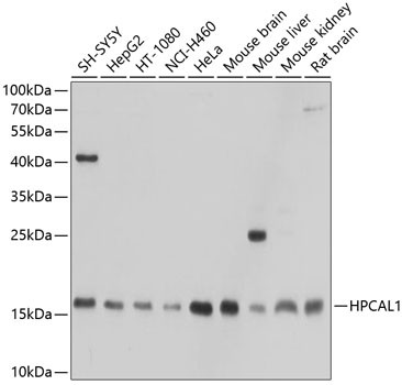
Refer to figures
The protein encoded by this gene is a member of neuron-specific calcium-binding proteins family found in the retina and brain. It is highly similar to human hippocalcin protein and nearly identical to the rat and mouse hippocalcin like-1 proteins. It may be involved in the calcium-dependent regulation of rhodopsin phosphorylation and may be of relevance for neuronal signalling in the central nervous system. Several alternatively spliced transcript variants encoding the same protein have been found for this gene.
Purification Method:
Affinity purification
Gene ID:
3241
Storage Buffer:
Store at -20℃. Avoid freeze / thaw cycles.Buffer: PBS with 0.02% sodium azide,50% glycerol,pH7.3.
Western blot analysis of various lysates using HPCAL1 Rabbit pAb (CAB21455) at 1:1000 dilution.Secondary antibody: HRP Goat Anti-Rabbit IgG (H+L) (CABS014) at 1:10000 dilution.Lysates/proteins: 25μg per lane.Blocking buffer: 3% nonfat dry milk in TBST.Detection: ECL Basic Kit (AbGn00020).Exposure time: 30s.