The EFTUD2 Polyclonal Antibody (CAB7040) is a crucial tool for researchers studying EFTUD2, a key protein involved in RNA splicing and processing. This antibody, produced in rabbits, demonstrates high reactivity with human samples and has been validated for use in Western blot applications. By specifically binding to the EFTUD2 protein, this antibody enables precise detection and analysis in various cell types, making it an essential component for studies in molecular biology and genetic research.EFTUD2, also known as U5-116KD, plays a critical role in the spliceosome complex, which is essential for accurate RNA splicing and gene expression.
Dysregulation of EFTUD2 has been associated with various genetic disorders and developmental abnormalities, making it a target of interest for researchers studying RNA processing mechanisms. By understanding the function and regulation of EFTUD2, scientists can gain valuable insights into the molecular basis of diseases and potentially identify new therapeutic targets for intervention.
Product Name:
EFTUD2 Rabbit Polyclonal Antibody
SKU:
CAB7040
Size:
20uL, 100uL
Isotype:
IgG
Host Species:
Rabbit
Reactivity:
Human,Mouse,Rat
Immunogen:
Recombinant fusion protein containing a sequence corresponding to amino acids 1-205 of human EFTUD2 (NP_004238.3).
This gene encodes a GTPase which is a component of the spliceosome complex which processes precursor mRNAs to produce mature mRNAs. Mutations in this gene are associated with mandibulofacial dysostosis with microcephaly. Multiple transcript variants encoding different isoforms have been found for this gene.
Purification Method:
Affinity purification
Gene ID:
9343
Storage Buffer:
Store at -20℃. Avoid freeze / thaw cycles.Buffer: PBS with 0.02% sodium azide,50% glycerol,pH7.3.
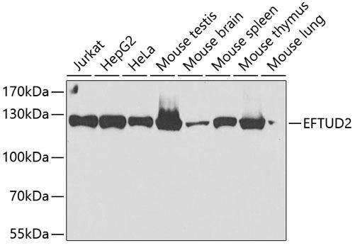
Western blot analysis of various lysates, using EFTUD2 Rabbit pAb (CAB7040) at 1:1000 dilution.Secondary antibody: HRP Goat Anti-Rabbit IgG (H+L) (CABS014) at 1:10000 dilution.Lysates/proteins: 25μg per lane.Blocking buffer: 3% nonfat dry milk in TBST.Detection: ECL Basic Kit (AbGn00020).Exposure time: 30s.