The DUSP21 Polyclonal Antibody (PAC041334) is a valuable tool for researchers studying DUSP21, a member of the dual-specificity protein phosphatase family involved in regulating cell signaling pathways. This antibody, produced in rabbits, exhibits high specificity and sensitivity towards human DUSP21 protein, making it suitable for Western blot applications.DUSP21 plays a crucial role in cellular processes such as cell proliferation, differentiation, and apoptosis, making it a potential target for cancer research and drug development.
By targeting DUSP21, researchers can gain insights into the molecular mechanisms underlying various diseases and potentially identify novel therapeutic strategies.Overall, the DUSP21 Polyclonal Antibody is a reliable reagent for investigating the functions and signaling pathways associated with DUSP21, serving as a valuable tool for advancing scientific knowledge in the fields of oncology and cell biology.
Antibody Name:
DUSP21 Antibody (PACO41334)
Antibody SKU:
PACO41334
Size:
50ug
Host Species:
Rabbit
Tested Applications:
ELISA, IHC
Recommended Dilutions:
ELISA:1:2000-1:10000, IHC:1:20-1:200
Species Reactivity:
Human
Immunogen:
Recombinant Human Dual specificity protein phosphatase 21 protein (1-190AA)
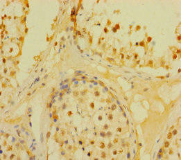
Immunohistochemistry of paraffin-embedded human testis tissue using PACO41334 at dilution of 1:100.
Background:
Can dephosphorylate single and diphosphorylated synthetic MAPK peptides, with preference for the phosphotyrosine and diphosphorylated forms over phosphothreonine.
DUSP21: Can dephosphorylate single and diphosphorylated synthetic MAPK peptides, with preference for the phosphotyrosine and diphosphorylated forms over phosphothreonine. Belongs to the protein-tyrosine phosphatase family. Non-receptor class dual specificity subfamily.Protein type: EC 3.1.3.16; EC 3.1.3.48; Mitochondrial; Motility/polarity/chemotaxis; Protein phosphatase, dual-specificityChromosomal Location of Human Ortholog: Xp11.4-p11.23Cellular Component: cytoplasm; mitochondrial matrix; nucleusMolecular Function: MAP kinase tyrosine/serine/threonine phosphatase activity; protein binding; protein tyrosine phosphatase activityBiological Process: inactivation of MAPK activity
UniProt Protein Details:
NCBI Summary:
This gene encodes a member of the dual specificity phosphatase family, specifically the low molecular weight dual specificity phosphatase family. The encoded protein localizes to both the cytoplasm and the nucleus and functions to remove phosphate groups from phosphotyrosine and phosphothreonine residues.[provided by RefSeq, Mar 2009]