The CoQ3 Polyclonal Antibody (CAB7469) is a valuable tool for researchers studying Coenzyme Q10 (CoQ10) biosynthesis and its role in cellular energy production. This antibody, produced in rabbits, is highly specific for CoQ3 and has been validated for use in various applications, including Western blotting.CoQ3, a key enzyme in the CoQ10 biosynthetic pathway, is essential for the production of ATP, the primary energy currency of cells. Dysregulation of CoQ10 biosynthesis has been implicated in a variety of diseases, including mitochondrial disorders and neurodegenerative diseases.
By targeting CoQ3 with this antibody, researchers can investigate its expression levels and localization in different cell types, providing valuable insights into the role of CoQ3 in cellular metabolism and disease processes.The CoQ3 Polyclonal Antibody is a reliable tool for scientists interested in exploring the functions of CoQ3 and its implications for human health. Its specificity and sensitivity make it a valuable asset for studies in molecular biology, biochemistry, and mitochondrial biology.
Product Name:
COQ3 Rabbit Polyclonal Antibody
SKU:
CAB7469
Size:
20uL, 100uL
Isotype:
IgG
Host Species:
Rabbit
Reactivity:
Human,Mouse,Rat
Immunogen:
Recombinant fusion protein containing a sequence corresponding to amino acids 50-369 of human COQ3 (NP_059117.3).
Ubiquinone, also known as coenzyme Q, or Q, is a critical component of the electron transport pathways of both eukaryotes and prokaryotes (Jonassen and Clarke, 2000 [PubMed 10777520]). This lipid consists of a hydrophobic isoprenoid tail and a quinone head group. The tail varies in length depending on the organism, but its purpose is to anchor coenzyme Q to the membrane. The quinone head group is responsible for the activity of coenzyme Q in the respiratory chain. The S. cerevisiae COQ3 gene encodes an O-methyltransferase required for 2 steps in the biosynthetic pathway of coenzyme Q. This enzyme methylates an early coenzyme Q intermediate, 3,4-dihydroxy-5-polyprenylbenzoic acid, as well as the final intermediate in the pathway, converting demethyl-ubiquinone to coenzyme Q. The COQ3 gene product is also capable of methylating the distinct prokaryotic early intermediate 2-hydroxy-6-polyprenyl phenol.
Purification Method:
Affinity purification
Gene ID:
51805
Storage Buffer:
Store at -20℃. Avoid freeze / thaw cycles.Buffer: PBS with 0.02% sodium azide,50% glycerol,pH7.3.
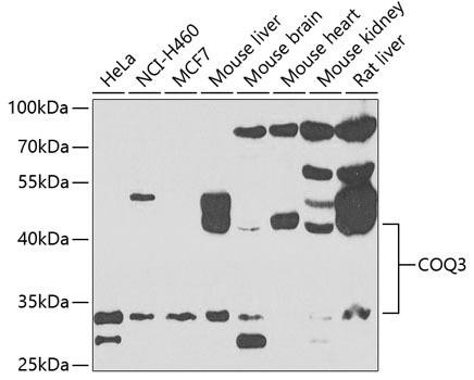
Western blot analysis of extracts of various cell lines, using COQ3 antibody (CAB7469) at 1:1000 dilution.Secondary antibody: HRP Goat Anti-Rabbit IgG (H+L) (CABS014) at 1:10000 dilution.Lysates/proteins: 25μg per lane.Blocking buffer: 3% nonfat dry milk in TBST.Detection: ECL Basic Kit (AbGn00020).Exposure time: 90s.