The CDYL2 Polyclonal Antibody (CAB7401) is a valuable tool for researchers studying CDYL2, a protein associated with gene regulation and chromatin remodeling processes. Developed using rabbits, this antibody is highly specific to human samples and has been validated for effective use in Western blot applications. By targeting the CDYL2 protein, researchers can accurately detect and analyze its expression in various cell types, providing valuable insights into its role in epigenetic control and gene expression regulation.CDYL2, also known as chromodomain Y-like protein 2, is known to interact with various transcription factors and histone-modifying enzymes, suggesting its importance in regulating gene expression and chromatin structure.
Understanding the function of CDYL2 is essential for deciphering its involvement in developmental processes, cellular differentiation, and disease pathogenesis, particularly in cancer and neurological disorders. By utilizing the CDYL2 Polyclonal Antibody, researchers can gain a deeper understanding of the molecular mechanisms underlying these complex cellular processes, paving the way for potential therapeutic interventions targeting CDYL2-related pathways.
Product Name:
CDYL2 Rabbit Polyclonal Antibody
SKU:
CAB7401
Size:
20uL, 100uL
Isotype:
IgG
Host Species:
Rabbit
Reactivity:
Human,Mouse,Rat
Immunogen:
Recombinant fusion protein containing a sequence corresponding to amino acids 60-230 of human CDYL2 (NP_689555.2).
Predicted to enable transcription corepressor activity. Predicted to be involved in negative regulation of transcription, DNA-templated. Predicted to be active in nucleus.
Purification Method:
Affinity purification
Gene ID:
124359
Storage Buffer:
Store at -20℃. Avoid freeze / thaw cycles.Buffer: PBS with 0.02% sodium azide,50% glycerol,pH7.3.
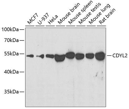
Western blot analysis of extracts of various cell lines, using CDYL2 antibody (CAB7401) at 1:500 dilution.Secondary antibody: HRP Goat Anti-Rabbit IgG (H+L) (CABS014) at 1:10000 dilution.Lysates/proteins: 25μg per lane.Blocking buffer: 3% nonfat dry milk in TBST.Detection: ECL Basic Kit (AbGn00020).Exposure time: 90s.