The BMP5 Polyclonal Antibody (CAB8401) is a valuable tool for research into the BMP5 protein, a member of the bone morphogenetic protein (BMP) family known for its role in cell differentiation and bone formation. This antibody, raised in rabbits, specifically binds to BMP5, enabling its detection and analysis in a variety of cell types. BMP5 is involved in various developmental processes, making it a key target for studies in embryology and tissue regeneration. Its dysregulation has been linked to skeletal disorders and certain cancers, highlighting its importance in understanding disease pathology.
The BMP5 Polyclonal Antibody is validated for Western blot applications, making it a reliable choice for researchers in the fields of developmental biology, regenerative medicine, and oncology. By using this antibody, researchers can further explore the functions of BMP5 and its involvement in various biological processes, paving the way for potential therapeutic advancements in the future.
Product Name:
BMP5 Rabbit Polyclonal Antibody
SKU:
CAB8401
Size:
20uL, 100uL
Isotype:
IgG
Host Species:
Rabbit
Reactivity:
Human,Mouse,Rat
Immunogen:
Recombinant fusion protein containing a sequence corresponding to amino acids 317-454 of human BMP5 (NP_066551.1).
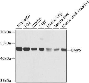
H460,LO2,SW620,293T,mouse liver,mouse small intestine,mouse skeletal muscle,rat lung,rat liver,NCI-H460,Mouse lung,Mouse liver,Mouse small intestine
Conjugate:
Unconjugated
Cellular Localization:
Secreted.
Calculated MW:
52kDa
Observed MW:
52kDa
This gene encodes a secreted ligand of the TGF-beta (transforming growth factor-beta) superfamily of proteins. Ligands of this family bind various TGF-beta receptors leading to recruitment and activation of SMAD family transcription factors that regulate gene expression. The encoded preproprotein is proteolytically processed to generate each subunit of the disulfide-linked homodimer, which plays a role in bone and cartilage development. Polymorphisms in this gene may be associated with osteoarthritis in human patients. This gene is differentially regulated in multiple human cancers. This gene encodes distinct protein isoforms that may be similarly proteolytically processed.
Purification Method:
Affinity purification
Gene ID:
653
Storage Buffer:
Store at -20℃. Avoid freeze / thaw cycles.Buffer: PBS with 0.02% sodium azide,50% glycerol,pH7.3.
Western blot analysis of various lysates using BMP5 Rabbit pAb (CAB8401) at 1:1000 dilution.Secondary antibody: HRP Goat Anti-Rabbit IgG (H+L) (CABS014) at 1:10000 dilution.Lysates/proteins: 25μg per lane.Blocking buffer: 3% nonfat dry milk in TBST.Detection: ECL Basic Kit (AbGn00020).Exposure time: 1s.