The ATP6V1B2 Polyclonal Antibody (CAB3754) is a highly specific antibody designed for research involving ATP6V1B2, a subunit of the V-ATPase proton pump complex essential for various cellular processes. The antibody, raised in rabbits, is validated for use in applications such as Western blot and immunohistochemistry, enabling precise detection and analysis of ATP6V1B2 expression in human samples.ATP6V1B2, a key component of the V-ATPase complex, plays a crucial role in regulating intracellular pH, membrane trafficking, and organelle acidification. Dysregulation of ATP6V1B2 expression has been implicated in various diseases, including cancer, osteopetrosis, and renal tubular acidosis.
Understanding the function and regulation of ATP6V1B2 is vital for unraveling its role in these diseases and developing targeted therapies.The ATP6V1B2 Polyclonal Antibody (CAB3754) offers researchers a valuable tool for investigating the biological functions and mechanisms of ATP6V1B2 in health and disease, making it an essential reagent for studies in cell biology, cancer research, and metabolic disorders. Unlock the potential of ATP6V1B2 research with this high-quality antibody.
Product Name:
ATP6V1B2 Rabbit Polyclonal Antibody
SKU:
CAB3754
Size:
20uL, 100uL
Isotype:
IgG
Host Species:
Rabbit
Reactivity:
Human,Mouse,Rat
Immunogen:
Recombinant fusion protein containing a sequence corresponding to amino acids 262-511 of human ATP6V1B2 (NP_001684.2).
This gene encodes a component of vacuolar ATPase (V-ATPase), a multisubunit enzyme that mediates acidification of eukaryotic intracellular organelles. V-ATPase dependent organelle acidification is necessary for such intracellular processes as protein sorting, zymogen activation, receptor-mediated endocytosis, and synaptic vesicle proton gradient generation. V-ATPase is composed of a cytosolic V1 domain and a transmembrane V0 domain. The V1 domain consists of three A, three B, and two G subunits, as well as a C, D, E, F, and H subunit. The V1 domain contains the ATP catalytic site. The protein encoded by this gene is one of two V1 domain B subunit isoforms and is the only B isoform highly expressed in osteoclasts.
Purification Method:
Affinity purification
Gene ID:
526
Storage Buffer:
Store at -20℃. Avoid freeze / thaw cycles.Buffer: PBS with 0.02% sodium azide,50% glycerol,pH7.3.
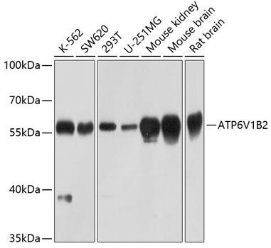
Western blot analysis of extracts of various cell lines, using ATP6V1B2 Antibody (CAB3754) at 1:1000 dilution.Secondary antibody: HRP Goat Anti-Rabbit IgG (H+L) (CABS014) at 1:10000 dilution.Lysates/proteins: 25μg per lane.Blocking buffer: 3% nonfat dry milk in TBST.Detection: ECL Basic Kit (AbGn00020).Exposure time: 30s.