The Anti-SARS-CoV-2 Spike S1 Antibody (CAB20136) is a valuable tool for researchers studying the SARS-CoV-2 virus, specifically its spike protein, which plays a key role in viral entry into host cells. This antibody, produced by Assay Genie, is highly specific and reactive with samples containing the SARS-CoV-2 spike protein. Validated for use in various applications such as ELISA and immunohistochemistry, it allows for the detection and analysis of the spike protein in different experimental settings.
The SARS-CoV-2 spike protein is a primary target for vaccine development and therapeutic strategies against COVID-19. By utilizing the Anti-SARS-CoV-2 Spike S1 Antibody (CAB20136), researchers can gain insights into the structure and function of the spike protein, facilitating the development of effective interventions to combat the ongoing global pandemic. This antibody is a valuable resource for studies aiming to understand the mechanism of viral infection and the immune response to SARS-CoV-2.
Product Name:
SARS-CoV-2 Spike S1 Rabbit Polyclonal Antibody
SKU:
CAB20136
Size:
20uL, 100uL
Isotype:
IgG
Host Species:
Rabbit
Reactivity:
Human,SARS-CoV-2
Immunogen:
Recombinant fusion protein containing a sequence corresponding to amino acids 11-682 of coronavirus Spike S1 (YP_009724390.1).
ELISA,1:20000-1:80000 WB,1:500 - 1:1000 IF/ICC,1:100 - 1:500 IP,0.5μg-4μg antibody for 200μg-400μg extracts of whole cells
Synonyms:
spike glycoprotein; SARS-CoV-2 Spike S1
Positive Sample:
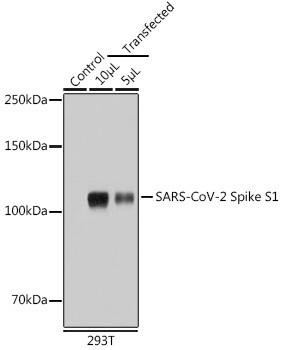
293T
Calculated MW:
141kDa
Observed MW:
110kDa
Severe acute respiratory syndrome coronavirus 2 (SARS-CoV-2) is an enveloped, positive-sense, single-stranded RNA virus that causes coronavirus disease 2019 (COVID-19). Virus particles include the RNA genetic material and structural proteins needed for invasion of host cells. Once inside the cell the infecting RNA is used to encode structural proteins that make up virus particles, nonstructural proteins that direct virus assembly, transcription, replication and host control and accessory proteins whose function has not been determined.~ The structural proteins of SARS-CoV-2 include the envelope protein (E), spike or surface glycoprotein (S), membrane protein (M) and the nucleocapsid protein (N). The spike glycoprotein is found on the outside of the virus particle and gives coronavirus viruses their crown-like appearance. This glycoprotein mediates attachment of the virus particle and entry into the host cell. S protein is an important target for vaccine development, antibody therapies and diagnostic antigen-based tests.
Purification Method:
Affinity purification
Gene ID:
43740568
Storage Buffer:
Store at -20℃. Avoid freeze / thaw cycles.Buffer: PBS with 0.01% thimerosal,50% glycerol,pH7.3.
Western blot analysis of lysates from 293T cells, using SARS-CoV-2 Spike S1 Rabbit pAb (CAB20136) at 1:1000 dilution.Secondary antibody: HRP Goat Anti-Rabbit IgG (H+L) (CABS014) at 1:10000 dilution.Lysates/proteins: 25μg per lane.Blocking buffer: 3% nonfat dry milk in TBST.Detection: ECL Basic Kit (AbGn00020).Exposure time: 1s.