The MC5 Receptor Antibody (CAB9331) is a polyclonal antibody specifically designed for research involving the MC5 receptor, a key player in the melanocortin system. This system is involved in various physiological processes, including regulation of energy homeostasis, inflammation, and pigmentation.Raised in rabbits, this antibody is highly reactive with human samples and has been validated for use in Western blot applications. By binding to the MC5 receptor protein, this antibody allows for the detection and analysis of this important receptor in different cell types.The MC5 receptor is known for its role in modulating various processes such as energy expenditure, thermogenesis, and anti-inflammatory responses.
Studies on the MC5 receptor have shown its potential implications in diseases such as obesity, diabetes, and inflammatory conditions. Therefore, understanding the function and regulation of the MC5 receptor is crucial for developing targeted therapies in these areas of research.Overall, the MC5 Receptor Antibody (CAB9331) is a valuable tool for researchers studying the melanocortin system and its role in various physiological and pathological conditions. Its high reactivity and specificity make it an ideal choice for immunology and metabolic disease research.
Antibody Name:
Anti-MC5 Receptor Antibody (CAB9331)
Antibody SKU:
CAB9331
Antibody Size:
50µL, 100µL
Application:
Western blotting
Reactivity:
Human, Mouse, Rat
Host Species:
Rabbit
Immunogen:
A synthesized peptide derived from human MC5 Receptor.
Application:
Western blotting
Recommended Dilution:
WB 1:500 - 1:2000
Reactivity:
Human, Mouse, Rat
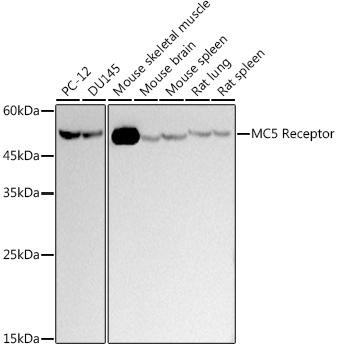
Positive Samples:
PC-12, DU145, Mouse skeletal muscle, Mouse brain, Mouse spleen, Rat lung, Rat spleen
Immunogen:
A synthesized peptide derived from human MC5 Receptor.
Purification Method:
Affinity purification
Storage Buffer:
Store at -20°C. Avoid freeze / thaw cycles. Buffer: PBS with 0.02% sodium azide, 50% glycerol, pH7.3.
Isotype:
IgG
Sequence:
Email for sequence
Cellular Location:
Cell membrane, Multi-pass membrane protein
Calculated MW:
45kDa
Observed MW:
50KDa
Synonyms:
MC5R, MC2, melanocortin receptor 5
Background:
This gene encodes a member of the seven-pass transmembrane G protein-coupled melanocortin receptor protein family that stimulate cAMP signal transduction. The encoded protein is a receptor for melanocyte-stimulating hormone and adrenocorticotropic hormone and is suggested to play a role in sebum generation.
Western blot analysis of extracts of various cell lines, using at 1:500 dilution. Secondary antibody: HRP Goat Anti-Rabbit IgG (H+L) at 1:10000 dilution. Lysates/proteins: 25ug per lane. Blocking buffer: 3% nonfat dry milk in TBST. Detection: ECL Basic Kit. Exposure time: 3s.