The GOT2 Polyclonal Antibody (CAB19245) is a valuable tool for researchers studying the mitochondrial enzyme glutamic-oxaloacetic transaminase 2 (GOT2). This antibody, raised in rabbits, is highly specific to human samples and has been validated for use in Western blot applications. By binding to the GOT2 protein, it enables the detection and analysis of this enzyme in various cell types, making it ideal for investigations in biochemistry and metabolism research.GOT2 plays a crucial role in cellular energy metabolism by facilitating the transfer of amino groups between different molecules, contributing to processes such as amino acid metabolism and the tricarboxylic acid cycle.
Dysregulation of GOT2 activity has been implicated in various metabolic disorders and diseases, making it a promising target for therapeutic interventions aimed at restoring metabolic balance.By using the GOT2 Polyclonal Antibody, researchers can gain insights into the function and regulation of this key mitochondrial enzyme, paving the way for advancements in the development of treatments for metabolic disorders and related conditions.
Product Name:
GOT2 Rabbit Monoclonal Antibody
SKU:
CAB19245
Size:
20uL, 100uL
Isotype:
IgG
Host Species:
Rabbit
Reactivity:
Human,Mouse,Rat
Immunogen:
A synthetic peptide corresponding to a sequence within amino acids 1-100 of human GOT2 (P00505).
Glutamic-oxaloacetic transaminase is a pyridoxal phosphate-dependent enzyme which exists in cytoplasmic and inner-membrane mitochondrial forms, GOT1 and GOT2, respectively. GOT plays a role in amino acid metabolism and the urea and tricarboxylic acid cycles. The two enzymes are homodimeric and show close homology. Two transcript variants encoding different isoforms have been found for this gene.
Purification Method:
Affinity purification
Gene ID:
2806
Clone Number:
ARC2405
Storage Buffer:
Store at -20℃. Avoid freeze / thaw cycles.Buffer: PBS with 0.02% sodium azide,0.05% BSA,50% glycerol,pH7.3.
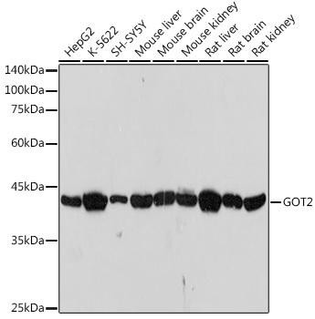
Western blot analysis of various lysates using GOT2 Rabbit mAb (CAB19245) at 1:1000 dilution.Secondary antibody: HRP Goat Anti-Rabbit IgG (H+L) (CABS014) at 1:10000 dilution.Lysates/proteins: 25μg per lane.Blocking buffer: 3% nonfat dry milk in TBST.Detection: ECL Basic Kit (AbGn00020).Exposure time: 1s.