The ALG14 Antibody (PAC039582) is a polyclonal antibody designed for research involving ALG14, a protein involved in the glycosylation pathway. This antibody, raised in rabbits, is highly reactive with human samples and is validated for use in various applications such as Western blot and immunofluorescence.ALG14 is a key player in the biosynthesis of N-linked glycoproteins, which are crucial for proper protein function and cell signaling. Dysregulation of the glycosylation pathway, including ALG14, has been implicated in various diseases such as cancer and congenital disorders.
By targeting ALG14 with this specific antibody, researchers can investigate its role in disease pathogenesis and potentially develop targeted therapies.The ALG14 Antibody is a valuable tool for identifying and analyzing ALG14 expression in different cell types and tissues, providing valuable insights into its function and potential therapeutic implications. Researchers in the fields of glycobiology, cancer research, and developmental biology will find this antibody essential for their studies.
Antibody Name:
ALG14 Antibody (PACO39582)
Antibody SKU:
PACO39582
Size:
50ug
Host Species:
Rabbit
Tested Applications:
ELISA, IHC
Recommended Dilutions:
ELISA:1:2000-1:10000, IHC:1:20-1:200
Species Reactivity:
Human
Immunogen:
Recombinant Human UDP-N-acetylglucosamine transferase subunit ALG14 homolog protein (25-216AA)
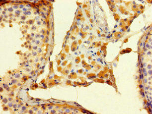
Immunohistochemistry of paraffin-embedded human testis tissue using PACO39582 at dilution of 1:100.
Immunohistochemistry of paraffin-embedded human colon cancer using PACO39582 at dilution of 1:100.
Background:
May be involved in protein N-glycosylation. May play a role in the second step of the dolichol-linked oligosaccharide pathway. May anchor the catalytic subunit ALG13 to the ER.
ALG14: May be involved in protein N-glycosylation. May play a role in the second step of the dolichol-linked oligosaccharide pathway. May anchor the catalytic subunit ALG13 to the ER. Belongs to the ALG14 family.Protein type: Membrane protein, integral; Glycan Metabolism - N-glycan biosynthesisChromosomal Location of Human Ortholog: 1p21.3Cellular Component: endoplasmic reticulum membraneMolecular Function: N-acetylglucosaminyldiphosphodolichol N-acetylglucosaminyltransferase activityBiological Process: dolichol-linked oligosaccharide biosynthetic processDisease: Myasthenic Syndrome, Congenital, Without Tubular Aggregates
UniProt Protein Details:
NCBI Summary:
This gene is a member of the glycosyltransferase 1 family. The encoded protein and ALG13 are thought to be subunits of UDP-GlcNAc transferase, which catalyzes the first two committed steps in endoplasmic reticulum N-linked glycosylation. Mutations in this gene have been linked to congenital myasthenic syndrome (CMSWTA). Alternatively spliced transcript variants have been identified. [provided by RefSeq, Mar 2015]