The TSEN15 Polyclonal Antibody (PACO59289) is a powerful tool for investigating TSEN15, a key protein involved in tRNA splicing and maturation processes. This antibody, generated in rabbits, exhibits high specificity and sensitivity towards human samples, and is validated for use in Western blot applications. By targeting the TSEN15 protein, researchers can gain insights into its function and expression levels across different cell types, making it an essential asset for studies in molecular biology and RNA processing.
TSEN15 is a critical component of the tRNA splicing machinery, essential for the accurate and efficient processing of tRNA molecules. Dysregulation of tRNA splicing has been associated with various human diseases, including neurological disorders and cancer, making TSEN15 a potential therapeutic target in these conditions. By delving into the mechanisms of TSEN15 activity, researchers can uncover new pathways for intervention and treatment strategies in disease settings related to RNA processing abnormalities.
Antibody Name:
TSEN15 Antibody (PACO59289)
Antibody SKU:
PACO59289
Size:
50ug
Host Species:
Rabbit
Tested Applications:
ELISA, IHC
Recommended Dilutions:
ELISA:1:2000-1:10000, IHC:1:200-1:500
Species Reactivity:
Human
Immunogen:
Recombinant Human tRNA-splicing endonuclease subunit Sen15 protein (1-171AA)
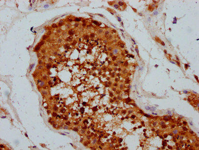
IHC image of PACO59289 diluted at 1:400 and staining in paraffin-embedded human testis tissue performed on a Leica BondTM system. After dewaxing and hydration, antigen retrieval was mediated by high pressure in a citrate buffer (pH 6.0). Section was blocked with 10% normal goat serum 30min at RT. Then primary antibody (1% BSA) was incubated at 4°C overnight. The primary is detected by a biotinylated secondary antibody and visualized using an HRP conjugated SP system.
IHC image of PACO59289 diluted at 1:400 and staining in paraffin-embedded human breast cancer performed on a Leica BondTM system. After dewaxing and hydration, antigen retrieval was mediated by high pressure in a citrate buffer (pH 6.0). Section was blocked with 10% normal goat serum 30min at RT. Then primary antibody (1% BSA) was incubated at 4°C overnight. The primary is detected by a biotinylated secondary antibody and visualized using an HRP conjugated SP system.
Background:
Non-catalytic subunit of the tRNA-splicing endonuclease complex, a complex responsible for identification and cleavage of the splice sites in pre-tRNA. It cleaves pre-tRNA at the 5' and 3' splice sites to release the intron. The products are an intron and two tRNA half-molecules bearing 2',3' cyclic phosphate and 5'-OH termini. There are no conserved sequences at the splice sites, but the intron is invariably located at the same site in the gene, placing the splice sites an invariant distance from the constant structural features of the tRNA body. The tRNA splicing endonuclease is also involved in mRNA processing via its association with pre-mRNA 3'-end processing factors, establishing a link between pre-tRNA splicing and pre-mRNA 3'-end formation, suggesting that the endonuclease subunits function in multiple RNA-processing events.
Non-catalytic subunit of the tRNA-splicing endonuclease complex, a complex responsible for identification and cleavage of the splice sites in pre-tRNA. It cleaves pre-tRNA at the 5' and 3' splice sites to release the intron. The products are an intron and two tRNA half-molecules bearing 2',3' cyclic phosphate and 5'-OH termini (PubMed:15109492, PubMed:27392077). There are no conserved sequences at the splice sites, but the intron is invariably located at the same site in the gene, placing the splice sites an invariant distance from the constant structural features of the tRNA body. The tRNA splicing endonuclease is also involved in mRNA processing via its association with pre-mRNA 3'-end processing factors, establishing a link between pre-tRNA splicing and pre-mRNA 3'-end formation, suggesting that the endonuclease subunits function in multiple RNA-processing events (PubMed:15109492).
UniProt Protein Details:
NCBI Summary:
This gene encodes a subunit of the tRNA splicing endonuclease, which catalyzes the removal of introns from tRNA precursors. Alternative splicing results in multiple transcript variants. There is a pseudogene of this gene on chromosome 17. [provided by RefSeq, Jul 2014]