The TM4SF1 Polyclonal Antibody (PACO30434) is a reliable tool for researchers studying TM4SF1, a member of the transmembrane 4 superfamily known to play a role in cell migration, invasion, and metastasis in various cancers. This antibody, produced in rabbits, exhibits high specificity and sensitivity towards human samples, making it suitable for use in Western blot and immunofluorescence applications.TM4SF1, also referred to as L6, is a cell surface protein that has been implicated in promoting tumor progression and metastasis in several cancer types. By targeting TM4SF1 with this antibody, researchers can investigate its expression levels in different cancer cell lines and tissues, offering valuable insights into its potential as a therapeutic target or biomarker for cancer diagnosis and prognosis.
The TM4SF1 Polyclonal Antibody (PACO30434) is a valuable tool for researchers interested in elucidating the role of TM4SF1 in cancer biology and exploring its potential as a target for novel anti-cancer therapies. Its high specificity and sensitivity ensure reliable and reproducible results in a variety of experimental settings, making it an essential component of any study aiming to uncover the molecular mechanisms underlying cancer metastasis and invasion.
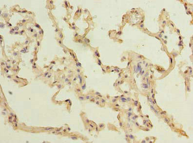
Immunohistochemistry of paraffin-embedded human lung tissue using PACO30434 at dilution of 1:100.
Immunofluorescent analysis of HepG2 cells using PACO30434 at dilution of 1:100 and Alexa Fluor 488-congugated AffiniPure Goat Anti-Rabbit IgG(H+L).
Immunohistochemistry of paraffin-embedded human breast cancer using PACO30434 at dilution of 1:100.
Background:
integral component of plasma membrane
Synonyms:
Transmembrane 4 L6 family member 1 (Membrane component chromosome 3 surface marker 1) (Tumor-associated antigen L6), TM4SF1, M3S1 TAAL6
UniProt Protein Function:
TM4SF1: a multi-pass membrane protein. Member of the transmembrane 4 superfamily, also known as the tetraspanin family. These proteins apparently mediate signal transduction events that play a role in the regulation of cell development, activation, growth and motility. This protein is highly expressed in lung, breast, colon and ovarian carcinomas. It is also present on some normal cells, endothelial cells in particular. Present in high molecular weight complexes in tumor cells.Protein type: Membrane protein, multi-pass; Membrane protein, integralChromosomal Location of Human Ortholog: 3q21-q25Cellular Component: integral to plasma membrane
UniProt Protein Details:
NCBI Summary:
The protein encoded by this gene is a member of the transmembrane 4 superfamily, also known as the tetraspanin family. Most of these members are cell-surface proteins that are characterized by the presence of four hydrophobic domains. The proteins mediate signal transduction events that play a role in the regulation of cell development, activation, growth and motility. This encoded protein is a cell surface antigen and is highly expressed in different carcinomas. [provided by RefSeq, Jul 2008]