The THSD1 Polyclonal Antibody (PACO17239) is a valuable tool for researchers studying THSD1, a molecule involved in angiogenesis and vascular development. This antibody, produced in rabbits, is highly specific for THSD1 in human samples and has been validated for use in Western blotting applications. By binding to the THSD1 protein, this antibody enables researchers to detect and analyze THSD1 expression in various cell types, making it ideal for studies in vascular biology and cancer research.THSD1, also known as Thrombospondin type-1 domain-containing protein 1, plays a critical role in regulating blood vessel formation and maintenance.
Its involvement in angiogenesis makes it a key target for studying processes like tumor growth, wound healing, and cardiovascular disease. By understanding the function of THSD1, researchers can gain insights into potential therapeutic strategies for conditions involving abnormal blood vessel formation.Overall, the THSD1 Polyclonal Antibody is a valuable tool for investigating the role of THSD1 in angiogenesis and vascular development, opening up new possibilities for research in the fields of cancer biology and vascular disorders.
Antibody Name:
THSD1 Antibody (PACO17239)
Antibody SKU:
PACO17239
Size:
50ul
Host Species:
Rabbit
Tested Applications:
ELISA, IHC
Recommended Dilutions:
ELISA:1:2000-1:5000, IHC:1:25-1:100
Species Reactivity:
Human, Mouse
Immunogen:
Fusion protein of human THSD1
Form:
Liquid
Storage Buffer:
-20°C, pH7.4 PBS, 0.05% NaN3, 40% Glycerol
Purification Method:
Antigen affinity purification
Clonality:
Polyclonal
Isotype:
IgG
Conjugate:
Non-conjugated
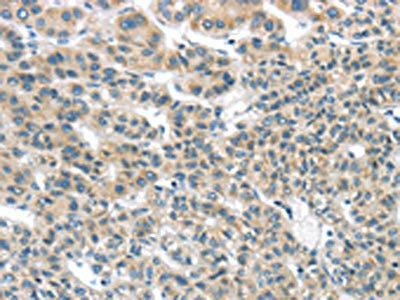
The image on the left is immunohistochemistry of paraffin-embedded Human liver cancer tissue using PACO17239(THSD1 Antibody) at dilution 1/25, on the right is treated with fusion protein. (Original magnification: x200).
Background:
The protein encoded by this gene contains a type 1 thrombospondin domain, which is found in a number of proteins involved in the complement pathway, as well as in extracellular matrix proteins. Alternatively spliced transcript variants encoding different isoforms have been observed for this gene.
Synonyms:
thrombospondin, type I, domain containing 1
UniProt Protein Function:
THSD1: contains a type 1 thrombospondin domain, which is found in a number of proteins involved in the complement pathway, as well as in extracellular matrix proteins. Alternatively spliced transcript variants encoding different isoforms have been observed for this gene. [provided by RefSeq, Jan 2009]Protein type: Membrane protein, integralChromosomal Location of Human Ortholog: 13q14.3Cellular Component: cytoplasm
UniProt Protein Details:
NCBI Summary:
The protein encoded by this gene contains a type 1 thrombospondin domain, which is found in a number of proteins involved in the complement pathway, as well as in extracellular matrix proteins. Alternatively spliced transcript variants encoding different isoforms have been observed for this gene. [provided by RefSeq, Jan 2009]