The SPATA20 Polyclonal Antibody (PAC018920) is a valuable tool for researchers studying SPATA20, a protein involved in sperm maturation and fertility. This antibody, generated in rabbits, exhibits high reactivity with human samples and is proven for use in various applications such as Western blotting. By binding specifically to SPATA20, this antibody allows for the detection and analysis of the protein in different cell types, making it ideal for investigations in reproductive biology and fertility research.
SPATA20, also known as Spermatogenesis-Associated Protein 20, plays a crucial role in the development and function of mature sperm cells. Understanding the function of SPATA20 is essential for unraveling the mechanisms underlying male infertility and reproductive disorders. Research on SPATA20 may provide insights into potential therapeutic targets for improving male fertility and addressing reproductive health issues.
Antibody Name:
SPATA20 Antibody (PACO18920)
Antibody SKU:
PACO18920
Size:
50ul
Host Species:
Rabbit
Tested Applications:
ELISA, IHC
Recommended Dilutions:
ELISA:1:2000-1:10000, IHC:1:100-1:300
Species Reactivity:
Human
Immunogen:
Synthetic peptide of human SPATA20
Form:
Liquid
Storage Buffer:
-20°C, pH7.4 PBS, 0.05% NaN3, 40% Glycerol
Purification Method:
Antigen affinity purification
Clonality:
Polyclonal
Isotype:
IgG
Conjugate:
Non-conjugated
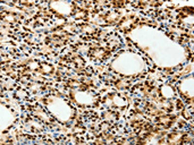
The image on the left is immunohistochemistry of paraffin-embedded Human ovarian cancer tissue using PACO18920(SPATA20 Antibody) at dilution 1/70, on the right is treated with synthetic peptide. (Original magnification: x200).
The image on the left is immunohistochemistry of paraffin-embedded Human colon cancer tissue using PACO18920(SPATA20 Antibody) at dilution 1/70, on the right is treated with synthetic peptide. (Original magnification: x200).
Background:
The protein may play a role in fertility regulation. It were significantly upregulated in individual bile samples from Cholangiocarcinoma patients by Western blotting and Immunohistochemistry, relative to normal tissues.It acts as a potential serum diagnostic biomarker for Cholangiocarcinoma.
Synonyms:
spermatogenesis associated 20
UniProt Protein Function:
SPATA20: May play a role in fertility regulation. 4 isoforms of the human protein are produced by alternative splicing.Protein type: Secreted; Secreted, signal peptideChromosomal Location of Human Ortholog: 17q21.33Cellular Component: extracellular regionMolecular Function: catalytic activityBiological Process: metabolic process; multicellular organismal development; spermatogenesis; cell differentiation