The SLAMF8 Polyclonal Antibody (PACO15873) is a valuable tool for researchers studying SLAMF8, a cell surface receptor involved in immune regulation and cell signaling pathways. This antibody, produced in rabbits, specifically targets human samples and has been validated for use in Western blot applications. By binding to the SLAMF8 protein, this antibody enables accurate detection and analysis in a variety of cell types, making it an essential tool for studies in immunology and cancer research.
SLAMF8, also known as CD353, is a key player in immune responses, acting as a co-stimulatory molecule that modulates T cell activation and function. Its involvement in immune regulation and its potential as a therapeutic target make it a focal point for research in diseases such as cancer, infectious diseases, and autoimmune disorders. By understanding the role of SLAMF8, researchers can develop targeted therapies that harness the immune system to combat these conditions effectively.
Antibody Name:
SLAMF8 Antibody (PACO15873)
Antibody SKU:
PACO15873
Size:
50ul
Host Species:
Rabbit
Tested Applications:
ELISA, IHC
Recommended Dilutions:
ELISA:1:1000-1:5000, IHC:1:50-1:200
Species Reactivity:
Human
Immunogen:
Fusion protein of human SLAMF8
Form:
Liquid
Storage Buffer:
-20°C, pH7.4 PBS, 0.05% NaN3, 40% Glycerol
Purification Method:
Antigen affinity purification
Clonality:
Polyclonal
Isotype:
IgG
Conjugate:
Non-conjugated
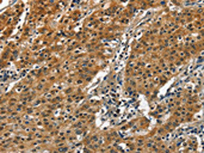
The image on the left is immunohistochemistry of paraffin-embedded Human gastric cancer tissue using PACO15873(SLAMF8 Antibody) at dilution 1/50, on the right is treated with fusion protein. (Original magnification: x200).
The image on the left is immunohistochemistry of paraffin-embedded Human thyroid cancer tissue using PACO15873(SLAMF8 Antibody) at dilution 1/50, on the right is treated with fusion protein. (Original magnification: x200).
Background:
This gene encodes a member of the CD2 family of cell surface proteins involved in lymphocyte activation. These proteins are characterized by Ig domains. This protein is expressed in lymphoid tissues, and studies of a similar protein in mouse suggest that it may function during B cell lineage commitment. The gene is found in a region of chromosome 1 containing many CD2 genes.
Synonyms:
SLAM family member 8p
UniProt Protein Function:
SLAMF8: May play a role in B-lineage commitment and/or modulation of signaling through the B-cell receptor. 2 isoforms of the human protein are produced by alternative splicing.Protein type: Membrane protein, integralChromosomal Location of Human Ortholog: 1q23.2Cellular Component: integral to membraneMolecular Function: receptor activityBiological Process: regulation of NAD(P)H oxidase activity; regulation of kinase activity; defense response to bacterium
UniProt Protein Details:
NCBI Summary:
This gene encodes a member of the CD2 family of cell surface proteins involved in lymphocyte activation. These proteins are characterized by Ig domains. This protein is expressed in lymphoid tissues, and studies of a similar protein in mouse suggest that it may function during B cell lineage commitment. The gene is found in a region of chromosome 1 containing many CD2 genes. [provided by RefSeq, Jul 2008]