The SCPEP1 Polyclonal Antibody (PACO16992) is a valuable tool for research involving SCPEP1, a serine carboxypeptidase enzyme that plays a role in various physiological processes. This antibody, produced in rabbits, exhibits high reactivity with human samples and has been validated for use in Western blot applications. By specifically binding to the SCPEP1 protein, this antibody enables accurate detection and analysis in a range of cell types, making it an excellent choice for studies in biochemistry and molecular biology.SCPEP1 is known for its involvement in peptide metabolism and has been implicated in various diseases and conditions, including metabolic disorders and cancer.
Research into the function and regulation of SCPEP1 is essential for understanding its role in these contexts and for developing potential therapeutic strategies. The SCPEP1 Polyclonal Antibody offers researchers a reliable tool for investigating the mechanisms and pathways involving SCPEP1, furthering our knowledge of its biological significance and potential applications in biomedical research.
Antibody Name:
SCPEP1 Antibody (PACO16992)
Antibody SKU:
PACO16992
Size:
50ul
Host Species:
Rabbit
Tested Applications:
ELISA, IHC
Recommended Dilutions:
ELISA:1:2000-1:5000, IHC:1:20-1:100
Species Reactivity:
Human, Mouse, Rat
Immunogen:
Fusion protein of human SCPEP1
Form:
Liquid
Storage Buffer:
-20°C, pH7.4 PBS, 0.05% NaN3, 40% Glycerol
Purification Method:
Antigen affinity purification
Clonality:
Polyclonal
Isotype:
IgG
Conjugate:
Non-conjugated
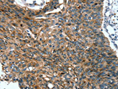
The image on the left is immunohistochemistry of paraffin-embedded Human esophagus cancer tissue using PACO16992(SCPEP1 Antibody) at dilution 1/20, on the right is treated with fusion protein. (Original magnification: x200).
Background:
Retinoid-inducible serine carboxypeptidase is an enzyme that in humans is encoded by the SCPEP1 gene. May be involved in vascular wall and kidney homeostasis.
Synonyms:
serine carboxypeptidase 1
UniProt Protein Function:
SCPEP1: May be involved in vascular wall and kidney homeostasis. Belongs to the peptidase S10 family. 2 isoforms of the human protein are produced by alternative splicing.Protein type: Protease; Secreted, signal peptide; Secreted; EC 3.4.16.-Chromosomal Location of Human Ortholog: 17q22Cellular Component: cytosolMolecular Function: serine carboxypeptidase activityBiological Process: negative regulation of blood pressure; positive regulation of vasodilation; proteolysis involved in cellular protein catabolic process; retinoic acid metabolic process