The RNF148 Polyclonal Antibody (PAC020353) is specially designed for research involving RNF148, a protein known for its role in ubiquitination processes and protein regulation. This antibody, developed in rabbits, exhibits high reactivity with human samples and has been validated for use in Western blot applications. By binding to the RNF148 protein, this antibody enables accurate detection and analysis in a variety of cell types, making it an excellent tool for studies in molecular biology and cellular signaling pathways. RNF148, a RING finger E3 ubiquitin ligase, plays a crucial role in protein turnover and the regulation of cellular processes.
Its involvement in ubiquitination mechanisms makes it a key player in various signaling cascades and cellular functions. The significance of RNF148 in protein regulation highlights its importance in research related to cell biology, cancer biology, and various disease pathways. Understanding the function and activity of RNF148 is essential for unraveling its potential as a therapeutic target in diseases associated with dysregulated protein homeostasis.
Antibody Name:
RNF148 Antibody (PACO20353)
Antibody SKU:
PACO20353
Size:
50ul
Host Species:
Rabbit
Tested Applications:
ELISA, IHC
Recommended Dilutions:
ELISA:1:2000-1:5000, IHC:1:50-1:200
Species Reactivity:
Human
Immunogen:
Synthetic peptide of human RNF148
Form:
Liquid
Storage Buffer:
-20°C, pH7.4 PBS, 0.05% NaN3, 40% Glycerol
Purification Method:
Antigen affinity purification
Clonality:
Polyclonal
Isotype:
IgG
Conjugate:
Non-conjugated
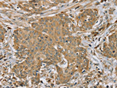
The image on the left is immunohistochemistry of paraffin-embedded Human cervical cancer tissue using PACO20353(RNF148 Antibody) at dilution 1/45, on the right is treated with synthetic peptide. (Original magnification: x200).
The image on the left is immunohistochemistry of paraffin-embedded Human lung cancer tissue using PACO20353(RNF148 Antibody) at dilution 1/45, on the right is treated with synthetic peptide. (Original magnification: x200).
Background:
RNF148 (RING finger protein 148) is a 305 amino acid, single-pass membrane protein that contains one PA (protease associated) domain and a single RING-type zinc finger. RNF148 is encoded by a gene that maps to human chromosome 7, which houses over 1,000 genes and comprises nearly 5% of the human genome. Chromosome 7 has been linked to Osteogenesis imperfecta, Pendred syndrome, Lissencephaly, Citrullinemia and Shwachman-Diamond syndrome. The deletion of a portion of the q arm of chromosome 7 is associated with Williams-Beuren syndrome, a condition characterized by mild mental retardation, an unusual comfort and friendliness with strangers and an elfin appearance.
Synonyms:
ring finger protein 148
UniProt Protein Function:
RNF148: Protein type: Membrane protein, integral; Ubiquitin conjugating systemChromosomal Location of Human Ortholog: 7q31.33Cellular Component: integral to membraneMolecular Function: zinc ion binding