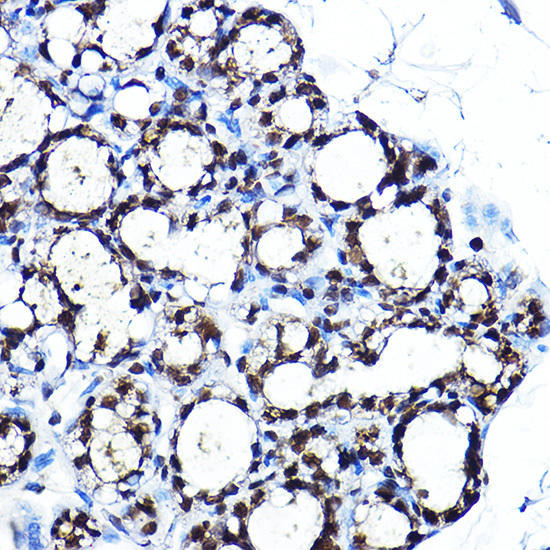
The PPARG Polyclonal Antibody (CAB11183) is a valuable tool for researchers studying PPARG, a nuclear receptor protein that plays a key role in metabolism and inflammation regulation. This antibody, produced in rabbits, is highly specific to human samples and has been validated for use in Western blotting applications. By binding to PPARG, the antibody allows for precise detection and analysis of this important protein in a variety of cell types.PPARG, also known as peroxisome proliferator-activated receptor gamma, is involved in regulating glucose and lipid metabolism, making it a target of interest in studies related to obesity, diabetes, and cardiovascular diseases.
Additionally, PPARG has been implicated in inflammation and immune response modulation, linking it to conditions such as inflammatory bowel disease and rheumatoid arthritis. By investigating the function of PPARG, researchers can gain insights into potential therapeutic strategies for these complex diseases.Overall, the PPARG Polyclonal Antibody is a valuable tool for researchers interested in understanding the role of PPARG in metabolic disorders, inflammatory conditions, and other diseases. Its high specificity and reliability make it an essential component of studies aimed at elucidating the functions of this important nuclear receptor.
Product Name:
PPARγ Rabbit Polyclonal Antibody
SKU:
CAB11183
Size:
20uL, 100uL
Isotype:
IgG
Host Species:
Rabbit
Reactivity:
Human,Mouse,Rat
Immunogen:
Recombinant fusion protein containing a sequence corresponding to amino acids 1-120 of human PPARγ (NP_056953.2).
This gene encodes a member of the peroxisome proliferator-activated receptor (PPAR) subfamily of nuclear receptors. PPARs form heterodimers with retinoid X receptors (RXRs) and these heterodimers regulate transcription of various genes. Three subtypes of PPARs are known: PPAR-alpha, PPAR-delta, and PPAR-gamma. The protein encoded by this gene is PPAR-gamma and is a regulator of adipocyte differentiation. Additionally, PPAR-gamma has been implicated in the pathology of numerous diseases including obesity, diabetes, atherosclerosis and cancer. Alternatively spliced transcript variants that encode different isoforms have been described.
Purification Method:
Affinity purification
Gene ID:
5468
Storage Buffer:
Store at -20℃. Avoid freeze / thaw cycles.Buffer: PBS with 0.01% thimerosal,50% glycerol,pH7.3.
Western blot analysis of lysates from Mouse liver, using PPARγ Rabbit pAb (CAB11183) at 1:1000 dilution.Secondary antibody: HRP Goat Anti-Rabbit IgG (H+L) (CABS014) at 1:10000 dilution.Lysates/proteins: 25μg per lane.Blocking buffer: 3% nonfat dry milk in TBST.Detection: ECL Basic Kit (AbGn00020).Exposure time: 1s.