The PIF1 Antibody (PAC047030) is a polyclonal antibody designed for research involving PIF1, a protein with vital functions in DNA replication and maintenance. This antibody, raised in rabbits, exhibits high reactivity with human samples and has been validated for use in Western blot applications. It specifically binds to the PIF1 protein, allowing for precise detection and analysis in various cell types, making it well-suited for studies in molecular biology, genetics, and cancer research.PIF1 is a conserved protein that plays a crucial role in maintaining genome stability by regulating DNA replication, repair, and recombination processes.
Dysregulation of PIF1 has been linked to genomic instability, which can contribute to the development of various diseases, including cancer and premature aging syndromes. Understanding the functions of PIF1 is essential for unraveling its implications in genetic disorders and advancing therapies aimed at targeting DNA replication mechanisms.
Antibody Name:
PIF1 Antibody (PACO47030)
Antibody SKU:
PACO47030
Size:
50ug
Host Species:
Rabbit
Tested Applications:
ELISA, IHC
Recommended Dilutions:
ELISA:1:2000-1:10000, IHC:1:20-1:200
Species Reactivity:
Human
Immunogen:
Recombinant Human ATP-dependent DNA helicase PIF1 protein (125-360AA)
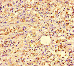
Immunohistochemistry of paraffin-embedded human gastric cancer using PACO47030 at dilution of 1:100.
Immunohistochemistry of paraffin-embedded human breast cancer using PACO47030 at dilution of 1:100.
Background:
DNA-dependent ATPase and 5'-3' DNA helicase required for the maintenance of both mitochondrial and nuclear genome stability. Efficiently unwinds G-quadruplex (G4) DNA structures and forked RNA-DNA hybrids. Resolves G4 structures, preventing replication pausing and double-strand breaks (DSBs) at G4 motifs. Involved in the maintenance of telomeric DNA. Inhibits telomere elongation, de novo telomere formation and telomere addition to DSBs via catalytic inhibition of telomerase. Reduces the processivity of telomerase by displacing active telomerase from DNA ends. Releases telomerase by unwinding the short telomerase RNA/telomeric DNA hybrid that is the intermediate in the telomerase reaction. Possesses an intrinsic strand annealing activity.
Synonyms:
ATP-dependent DNA helicase PIF1 (EC 3.6.4.12) (DNA repair and recombination helicase PIF1) (PIF1/RRM3 DNA helicase-like protein), PIF1, C15orf20
UniProt Protein Function:
UniProt Protein Details:
NCBI Summary:
This gene encodes a DNA-dependent adenosine triphosphate (ATP)-metabolizing enzyme that functions as a 5' to 3' DNA helicase. The encoded protein can resolve G-quadruplex structures and RNA-DNA hybrids at the ends of chromosomes. It also prevents telomere elongation by inhibiting the actions of telomerase. Alternative splicing and the use of alternative start codons results in multiple isoforms that are differentially localized to either the mitochondria or the nucleus. [provided by RefSeq, Nov 2013]