The PEX1 Polyclonal Antibody (PACO54038) is a valuable tool for researchers studying PEX1, a protein involved in peroxisome biogenesis and maintenance. This antibody, generated in rabbits, exhibits high reactivity with human samples and has been validated for use in Western blot applications. By specifically binding to the PEX1 protein, this antibody enables the detection and analysis of PEX1 in various cell types, making it ideal for investigations in cell biology, metabolism, and genetic disorders.PEX1 is a key player in peroxisome function, a vital organelle involved in lipid metabolism, reactive oxygen species detoxification, and other essential cellular processes.
Dysfunction of PEX1 is associated with peroxisome biogenesis disorders, leading to serious health complications such as neurological abnormalities, liver dysfunction, and metabolic disorders. Research on PEX1 is crucial for unraveling the mechanisms underlying these conditions and developing targeted therapies.By utilizing the PEX1 Polyclonal Antibody, researchers can delve deeper into the role of PEX1 in peroxisome biology and its implications for human health. This antibody provides a reliable tool for investigating the functions and regulation of PEX1, shedding light on potential therapeutic strategies for peroxisome-related disorders.
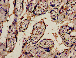
Immunohistochemistry analysis of human placenta tissue using PACO54038 at dilution of 1:100.
Immunofluorescent analysis of HepG2 cells using PACO54038 at dilution of 1:100 and Alexa Fluor 488-congugated AffiniPure Goat Anti-Rabbit IgG(H+L).
Background:
Required for stability of PEX5 and protein import into the peroxisome matrix. Anchored by PEX26 to peroxisome membranes, possibly to form heteromeric AAA ATPase complexes required for the import of proteins into peroxisomes.
This gene encodes a member of the AAA ATPase family, a large group of ATPases associated with diverse cellular activities. This protein is cytoplasmic but is often anchored to a peroxisomal membrane where it forms a heteromeric complex and plays a role in the import of proteins into peroxisomes and peroxisome biogenesis. Mutations in this gene have been associated with complementation group 1 peroxisomal disorders such as neonatal adrenoleukodystrophy, infantile Refsum disease, and Zellweger syndrome. Alternatively spliced transcript variants have been found for this gene. [provided by RefSeq, Sep 2013]