The OCC1 Antibody (PAC057392) is a highly specific and sensitive tool for researchers studying OCC1, a protein involved in various cellular functions. This polyclonal antibody, produced in rabbits, has been rigorously tested and validated for use in a variety of experimental techniques, including Western blotting.OCC1, also known as Oncocin, is a potential biomarker for certain types of cancer and has been linked to cell growth and proliferation. By targeting OCC1 with this antibody, researchers can accurately detect and analyze its expression in different cell types, making it a valuable tool for cancer research and biomarker discovery.
Furthermore, understanding the role of OCC1 in cellular processes can provide insights into potential therapeutic targets for cancer treatment and other related diseases. With its high reactivity and specificity, the OCC1 Antibody is a crucial resource for scientists investigating the functions and implications of OCC1 in various biological contexts.
Antibody Name:
OCC1 Antibody (PACO57392)
Antibody SKU:
PACO57392
Size:
50ug
Host Species:
Rabbit
Tested Applications:
ELISA, IHC
Recommended Dilutions:
ELISA:1:2000-1:10000, IHC:1:500-1:1000
Species Reactivity:
Human
Immunogen:
Recombinant Human Overexpressed in colon carcinoma 1 protein (1-63AA)
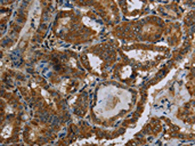
IHC image of PACO57392 diluted at 1:600 and staining in paraffin-embedded human kidney tissue performed on a Leica BondTM system. After dewaxing and hydration, antigen retrieval was mediated by high pressure in a citrate buffer (pH 6.0). Section was blocked with 10% normal goat serum 30min at RT. Then primary antibody (1% BSA) was incubated at 4°C overnight. The primary is detected by a biotinylated secondary antibody and visualized using an HRP conjugated SP system.
IHC image of PACO57392 diluted at 1:600 and staining in paraffin-embedded human pancreatic tissue performed on a Leica BondTM system. After dewaxing and hydration, antigen retrieval was mediated by high pressure in a citrate buffer (pH 6.0). Section was blocked with 10% normal goat serum 30min at RT. Then primary antibody (1% BSA) was incubated at 4°C overnight. The primary is detected by a biotinylated secondary antibody and visualized using an HRP conjugated SP system.
Synonyms:
Overexpressed in colon carcinoma 1 protein (OCC-1) (AGD3), OCC1, C12orf75