The NPTX1 Polyclonal Antibody (PACO20123) is an essential tool for researchers studying NPTX1, a neuronal pentraxin protein involved in synaptic plasticity and neurological disorders. This antibody, produced in rabbits, exhibits high specificity and sensitivity in detecting NPTX1 in human samples, making it ideal for use in Western blot and immunofluorescence applications.NPTX1, also known as neuronal activity-regulated pentraxin, is known for its role in regulating synaptic function and plasticity in the brain. Dysregulation of NPTX1 has been linked to various neurological disorders, including Alzheimer's disease and schizophrenia, making it a valuable target for research in neurobiology and neuroscience.
By using the NPTX1 Polyclonal Antibody, researchers can better understand the function and regulation of NPTX1 in neuronal systems, paving the way for the development of new therapeutic strategies for treating neurological disorders. Its high reactivity and specificity make it an essential tool for investigating the role of NPTX1 in synaptic transmission and brain function.
Antibody Name:
NPTX1 Antibody (PACO20123)
Antibody SKU:
PACO20123
Size:
50ul
Host Species:
Rabbit
Tested Applications:
ELISA, IHC
Recommended Dilutions:
ELISA:1:2000-1:5000, IHC:1:50-1:200
Species Reactivity:
Human, Mouse, Rat
Immunogen:
Synthetic peptide of human NPTX1
Form:
Liquid
Storage Buffer:
-20°C, pH7.4 PBS, 0.05% NaN3, 40% Glycerol
Purification Method:
Antigen affinity purification
Clonality:
Polyclonal
Isotype:
IgG
Conjugate:
Non-conjugated
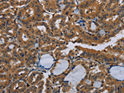
The image on the left is immunohistochemistry of paraffin-embedded Human thyroid cancer tissue using PACO20123(NPTX1 Antibody) at dilution 1/50, on the right is treated with synthetic peptide. (Original magnification: x200).
The image on the left is immunohistochemistry of paraffin-embedded Human colon cancer tissue using PACO20123(NPTX1 Antibody) at dilution 1/50, on the right is treated with synthetic peptide. (Original magnification: x200).
Background:
NPTX1 is a member of the neuronal pentraxin gene family. Neuronal pentraxin 1 is similar to the rat NP1 gene which encodes a binding protein for the snake venom toxin taipoxin. Human NPTX1 mRNA is exclusively localized to the nervous system.
Synonyms:
neuronal pentraxin I
UniProt Protein Function:
NPTX1: May mediate uptake of degraded synaptic material which could play an important role in synaptic remodeling. Can mediate the neuronal and glial uptake of the snake venom toxin taipoxin.
UniProt Protein Details:
Protein type:Motility/polarity/chemotaxis
Chromosomal Location of Human Ortholog: 17q25.3
Biological Process: central nervous system development; synaptic transmission; transport
NCBI Summary:
NPTX1 is a member of the neuronal pentraxin gene family. Neuronal pentraxin 1 is similar to the rat NP1 gene which encodes a binding protein for the snake venom toxin taipoxin. Human NPTX1 mRNA is exclusively localized to the nervous system. [provided by RefSeq, Jul 2008]