Description
| 抗体名: | NODAL Antibody (PACO07232) |
| 抗体コード: | PACO07232 |
| サイズ: | 50ug |
| 宿主種: | Rabbit |
| 申し込み: | ELISA, WB, IHC |
| 推奨される希釈: | ELISA:1:10000, WB:1:500-1:2000, IHC-p:1:100-1:300 |
| 反応性: | Human, Mouse, Rat |
| 免疫原: | Synthesized peptide derived from the C-terminal region of human Nodal. |
| 憲法: | Liquid |
| ストレージバッファ: | Liquid in PBS containing 50% glycerol, 0.5% BSA and 0.02% sodium azide. |
| 精製方法: | The antibody was affinity-purified from rabbit antiserum by affinity-chromatography using epitope-specific immunogen. |
| 抗体のクローン性: | Polyclonal |
| アイソタイプ: | IgG |
| Conjugate: | Non-conjugated |
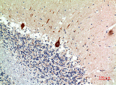
![]() | Immunohistochemical analysis of paraffin-embedded human-brain, antibody was diluted at 1:100. |
![]() | Western blot analysis of Hela lysis using NODAL antibody. Secondary antibody was diluted at 1:20000. |
| シノニム: | NODAL; Nodal homolog |
| UniProt Protein Function: | NODAL: Essential for mesoderm formation and axial patterning during embryonic development. Defects in NODAL are the cause of visceral heterotaxy autosomal type 5 (HTX5). A form of visceral heterotaxy, a complex disorder due to disruption of the normal left-right asymmetry of the thoracoabdominal organs. It results in an abnormal arrangement of visceral organs, and a wide variety of congenital defects. Clinical features of visceral heterotaxy autosomal type 5 include situs inversus viscerum or situs ambiguus, congenital heart defect, transposition of the great vessels ventricular septal defect, atrial septal defect, truncuscommunis, and dextrocardia. Belongs to the TGF-beta family. |
| UniProt Protein Details: | Protein type:Cell development/differentiation; Cytokine; Motility/polarity/chemotaxis; Secreted; Secreted, signal peptide Chromosomal Location of Human Ortholog: 10q22.1 Cellular Component: extracellular space Molecular Function:cytokine activity; transforming growth factor beta receptor binding Biological Process: BMP signaling pathway; cell development; mesendoderm development; placenta development; positive regulation of activin receptor signaling pathway; positive regulation of angiogenesis; positive regulation of caspase activity; positive regulation of cell-cell adhesion; positive regulation of epithelial cell proliferation; positive regulation of transcription factor activity Disease: Heterotaxy, Visceral, 5, Autosomal |
| NCBI Summary: | This gene encodes a secreted ligand of the TGF-beta (transforming growth factor-beta) superfamily of proteins. Ligands of this family bind various TGF-beta receptors leading to recruitment and activation of SMAD family transcription factors that regulate gene expression. The encoded preproprotein is proteolytically processed to generate the mature protein, which regulates early embryonic development. This protein is required for maintenance of human embryonic stem cell pluripotency and may play a role in human placental development. Mutations in this gene are associated with heterotaxy, a condition characterized by random orientation of visceral organs with respect to the left-right axis. [provided by RefSeq, Aug 2016] |
| UniProt Code: | Q96S42 |
| NCBI GenInfo Identifier: | 166214958 |
| NCBI Gene ID: | 4838 |
| NCBI Accession: | Q96S42.2 |
| UniProt Secondary Accession: | Q96S42,Q2M3A5, Q8N4V3, |
| UniProt Related Accession: | Q96S42 |
| Molecular Weight: | 40kDa |
| NCBI Full Name: | Nodal homolog |
| NCBI Synonym Full Names: | nodal growth differentiation factor |
| NCBI Official Symbol: | NODAL |
| NCBI Official Synonym Symbols: | HTX5 |
| NCBI Protein Information: | nodal homolog |
| UniProt Protein Name: | Nodal homolog |
| Protein Family: | Nodal |
| UniProt Gene Name: | NODAL |
| Antibodies | ELISA Kits |
| Anti-Nodal homolog Antibody (CAB9902) | Human NODAL / Nodal homolog ELISA Kit |
| Human Nodal homolog (NODAL) ELISA Kit |
| Secondary Antibody |
| Anti-HRP Goat Anti-Rabbit IgG (H+L) Antibody (CABS014) |
| Recommended Products |
| Anti-FITC Goat Anti-Rabbit IgG (H+L) Antibody (CABS011) |
| Anti-HRP-conjugated Beta Actin Antibody (CABC028) |

