Description
NEB Antibody (PACO58084)
The NEB Antibody (PACO58084) is a polyclonal antibody specifically designed for research involving NEB, a key protein involved in DNA replication and repair. This antibody, produced in rabbits, exhibits high reactivity with human samples and has been validated for use in Western blot applications. By binding to the NEB protein, this antibody enables accurate detection and analysis in a variety of cell types, making it an excellent tool for studies in molecular biology and cancer research.NEB, also known as nuclear endonuclease G, plays a crucial role in maintaining the integrity of the genome by facilitating the repair of damaged DNA.
Dysregulation of NEB has been implicated in various diseases, including cancer and neurodegenerative disorders. By investigating the function and regulation of NEB, researchers can gain valuable insights into the mechanisms underlying these conditions and potentially identify new therapeutic targets.Overall, the NEB Antibody (PACO58084) is a valuable tool for researchers seeking to study the role of NEB in DNA maintenance and repair processes. Its high specificity and reactivity make it an essential asset for advancing our understanding of molecular mechanisms involved in disease development and progression.
| Antibody Name: | NEB Antibody (PACO58084) |
| Antibody SKU: | PACO58084 |
| Size: | 50ug |
| Host Species: | Rabbit |
| Tested Applications: | ELISA, IHC, IF |
| Recommended Dilutions: | ELISA:1:2000-1:10000, IHC:1:500-1:1000, IF:1:200-1:500 |
| Species Reactivity: | Human |
| Immunogen: | Recombinant Human Nebulin protein (245-373AA) |
| Form: | Liquid |
| Storage Buffer: | Preservative: 0.03% Proclin 300 Constituents: 50% Glycerol, 0.01M PBS, pH 7.4 |
| Purification Method: | >95%, Protein G purified |
| Clonality: | Polyclonal |
| Isotype: | IgG |
| Conjugate: | Non-conjugated |
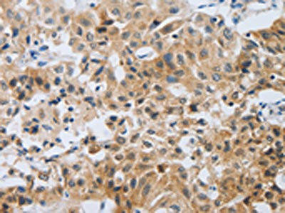
![]() | IHC image of PACO58084 diluted at 1:600 and staining in paraffin-embedded human lung cancer performed on a Leica BondTM system. After dewaxing and hydration, antigen retrieval was mediated by high pressure in a citrate buffer (pH 6.0). Section was blocked with 10% normal goat serum 30min at RT. Then primary antibody (1% BSA) was incubated at 4°C overnight. The primary is detected by a biotinylated secondary antibody and visualized using an HRP conjugated SP system. |
![]() | Immunofluorescence staining of HepG2 cells with PACO58084 at 1:200, counter-stained with DAPI. The cells were fixed in 4% formaldehyde, permeabilized using 0.2% Triton X-100 and blocked in 10% normal Goat Serum. The cells were then incubated with the antibody overnight at 4°C. The secondary antibody was Alexa Fluor 488-congugated AffiniPure Goat Anti-Rabbit IgG(H+L). |
![]() | IHC image of PACO58084 diluted at 1:600 and staining in paraffin-embedded human skeletal muscle tissue performed on a Leica BondTM system. After dewaxing and hydration, antigen retrieval was mediated by high pressure in a citrate buffer (pH 6.0). Section was blocked with 10% normal goat serum 30min at RT. Then primary antibody (1% BSA) was incubated at 4°C overnight. The primary is detected by a biotinylated secondary antibody and visualized using an HRP conjugated SP system. |
| Background: | This giant muscle protein may be involved in maintaining the structural integrity of sarcomeres and the membrane system associated with the myofibrils. Binds and stabilize F-actin. |
| Synonyms: | Nebulin, NEB |
| UniProt Protein Function: | NEB: This giant muscle protein may be involved in maintaining the structural integrity of sarcomeres and the membrane system associated with the myofibrils. Binds and stabilize F-actin. Defects in NEB are the cause of nemaline myopathy type 2 (NEM2). A form of nemaline myopathy. Nemaline myopathies are muscular disorders characterized by muscle weakness of varying severity and onset, and abnormal thread-or rod-like structures in muscle fibers on histologic examination. |
| UniProt Protein Details: | Protein type:Cytoskeletal Chromosomal Location of Human Ortholog: 2q22 Cellular Component: cytosol; Z disc; actin cytoskeleton Molecular Function:protein binding; structural constituent of muscle; actin binding Biological Process: muscle development; regulation of actin filament length; somatic muscle development; muscle filament sliding Disease: Nemaline Myopathy 2 |
| NCBI Summary: | This gene encodes nebulin, a giant protein component of the cytoskeletal matrix that coexists with the thick and thin filaments within the sarcomeres of skeletal muscle. In most vertebrates, nebulin accounts for 3 to 4% of the total myofibrillar protein. The encoded protein contains approximately 30-amino acid long modules that can be classified into 7 types and other repeated modules. Protein isoform sizes vary from 600 to 800 kD due to alternative splicing that is tissue-, species-,and developmental stage-specific. Of the 183 exons in the nebulin gene, at least 43 are alternatively spliced, although exons 143 and 144 are not found in the same transcript. Of the several thousand transcript variants predicted for nebulin, the RefSeq Project has decided to create three representative RefSeq records. Mutations in this gene are associated with recessive nemaline myopathy. [provided by RefSeq, Sep 2009] |
| UniProt Code: | P20929 |
| NCBI GenInfo Identifier: | 635377472 |
| NCBI Gene ID: | 4703 |
| NCBI Accession: | P20929.5 |
| UniProt Related Accession: | P20929 |
| Molecular Weight: | Observed: 773 kDaPredicted: 773 kDa |
| NCBI Full Name: | Nebulin |
| NCBI Synonym Full Names: | nebulin |
| NCBI Official Symbol: | NEB |
| NCBI Official Synonym Symbols: | NEM2; NEB177D |
| NCBI Protein Information: | nebulin |
| UniProt Protein Name: | Nebulin |
| Protein Family: | Nebulin |
| UniProt Gene Name: | NEB |
| UniProt Entry Name: | NEBU_HUMAN |


