Description
MYBL2 Antibody (PACO48410)
The MYBL2 Polyclonal Antibody (PAC048410) is a valuable tool for researchers studying MYBL2, a transcription factor involved in cell cycle regulation and carcinogenesis. This antibody, produced in rabbits, has high specificity for MYBL2 in human samples and is validated for use in Western blot and immunohistochemistry applications. By binding to MYBL2 protein, this antibody enables precise detection and analysis in a variety of cell types, making it ideal for investigations in oncology and cell biology.MYBL2, also known as MYB proto-oncogene-like 2, is a key player in controlling cell proliferation and differentiation, making it a crucial target for research into cancer development and progression.
Its dysregulation has been linked to various types of cancer, making it a promising biomarker for diagnostic and therapeutic applications. Understanding the role of MYBL2 in tumorigenesis is essential for the development of targeted cancer therapies that exploit its function in driving malignant cell growth.
| Antibody Name: | MYBL2 Antibody (PACO48410) |
| Antibody SKU: | PACO48410 |
| Size: | 50ug |
| Host Species: | Rabbit |
| Tested Applications: | ELISA, IHC, IF |
| Recommended Dilutions: | ELISA:1:2000-1:10000, IHC:1:20-1:200, IF:1:50-1:200 |
| Species Reactivity: | Human |
| Immunogen: | Recombinant Human Myb-related protein B protein (188-366AA) |
| Form: | Liquid |
| Storage Buffer: | Preservative: 0.03% Proclin 300 Constituents: 50% Glycerol, 0.01M PBS, PH 7.4 |
| Purification Method: | >95%, Protein G purified |
| Clonality: | Polyclonal |
| Isotype: | IgG |
| Conjugate: | Non-conjugated |
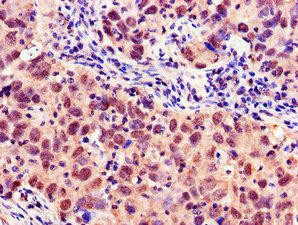
![]() | Immunohistochemistry of paraffin-embedded human pancreatic cancer using PACO48410 at dilution of 1:100. |
![]() | Immunofluorescent analysis of Hela cells using PACO48410 at dilution of 1:100 and Alexa Fluor 488-congugated AffiniPure Goat Anti-Rabbit IgG(H+L). |
| Background: | Transcription factor involved in the regulation of cell survival, proliferation, and differentiation. Transactivates the expression of the CLU gene. |
| Synonyms: | Myb-related protein B (B-Myb) (Myb-like protein 2), MYBL2, BMYB |
| UniProt Protein Function: | B-Myb: a transcription factor involved in cell cycle progression. Phosphorylated by cyclin A/cyclin-dependent kinase 2 during the S-phase of the cell cycle and possesses both activator and repressor activities. It has been shown to activate the cell division cycle 2, cyclin D1, and insulin-like growth factor-binding protein 5 genes. Transcript variants may exist for this gene, but their full-length natures have not been determined. |
| UniProt Protein Details: | Protein type:Motility/polarity/chemotaxis; DNA-binding; Transcription factor Chromosomal Location of Human Ortholog: 20q13.1 Cellular Component: nucleoplasm Molecular Function:protein binding; chromatin binding; transcription factor activity Biological Process: transcription, DNA-dependent; regulation of cell cycle; positive regulation of transcription from RNA polymerase II promoter; mitotic cell cycle; G2/M transition of mitotic cell cycle |
| NCBI Summary: | The protein encoded by this gene, a member of the MYB family of transcription factor genes, is a nuclear protein involved in cell cycle progression. The encoded protein is phosphorylated by cyclin A/cyclin-dependent kinase 2 during the S-phase of the cell cycle and possesses both activator and repressor activities. It has been shown to activate the cell division cycle 2, cyclin D1, and insulin-like growth factor-binding protein 5 genes. Two transcript variants encoding different isoforms have been found for this gene. [provided by RefSeq, Jul 2013] |
| UniProt Code: | P10244 |
| NCBI GenInfo Identifier: | 127584 |
| NCBI Gene ID: | 4605 |
| NCBI Accession: | P10244.1 |
| UniProt Secondary Accession: | P10244,Q53F07, B2RBS5, B7Z8D9, F8W6N6, |
| UniProt Related Accession: | P10244 |
| Molecular Weight: | 75,865 Da |
| NCBI Full Name: | Myb-related protein B |
| NCBI Synonym Full Names: | v-myb avian myeloblastosis viral oncogene homolog-like 2 |
| NCBI Official Symbol: | MYBL2 |
| NCBI Official Synonym Symbols: | BMYB; B-MYB |
| NCBI Protein Information: | myb-related protein B; myb-like protein 2; v-myb myeloblastosis viral oncogene homolog-like 2 |
| UniProt Protein Name: | Myb-related protein B |
| UniProt Synonym Protein Names: | Myb-like protein 2 |
| Protein Family: | Myb-related protein |
| UniProt Gene Name: | MYBL2 |
| UniProt Entry Name: | MYBB_HUMAN |
| Secondary Antibody |
| Anti-HRP Goat Anti-Rabbit IgG (H+L) Antibody (CABS014) |
| Recommended Products |
| Anti-FITC Goat Anti-Rabbit IgG (H+L) Antibody (CABS011) |
| Anti-HRP-conjugated Beta Actin Antibody (CABC028) |

