Description
MUC1 Antibody (PACO20980)
The MUC1 Polyclonal Antibody (PACO20980) is a valuable tool for research involving MUC1, a transmembrane glycoprotein that is overexpressed in various cancers and plays a role in tumor progression and metastasis. This antibody, generated in rabbits, exhibits high reactivity with human samples and has been validated for use in immunohistochemistry and immunofluorescence applications.MUC1, also known as mucin 1, is a significant target in cancer research due to its aberrant expression in tumors and its involvement in promoting cancer cell survival and invasion. The MUC1 Polyclonal Antibody specifically recognizes the MUC1 protein, allowing for the detection and analysis of MUC1 expression in different cancer cell types and tissues.
Its utility in immunohistochemistry makes it an essential tool for studying the role of MUC1 in tumorigenesis and evaluating its potential as a therapeutic target in cancer treatment.By targeting the MUC1 protein, researchers can gain insights into the mechanisms underlying cancer progression and metastasis, paving the way for the development of novel diagnostic tools and therapeutic strategies. The MUC1 Polyclonal Antibody is a valuable resource for investigators in the field of oncology and provides a means to further understand the complex role of MUC1 in cancer biology.
| Antibody Name: | MUC1 Antibody (PACO20980) |
| Antibody SKU: | PACO20980 |
| Size: | 50ul |
| Host Species: | Rabbit |
| Tested Applications: | ELISA, IHC |
| Recommended Dilutions: | ELISA:1:2000-1:5000, IHC:1:25-1:100 |
| Species Reactivity: | Human |
| Immunogen: | Synthetic peptide of human MUC1(NT) |
| Form: | Liquid |
| Storage Buffer: | -20°C, pH7.4 PBS, 0.05% NaN3, 40% Glycerol |
| Purification Method: | Antigen affinity purification |
| Clonality: | Polyclonal |
| Isotype: | IgG |
| Conjugate: | Non-conjugated |
![]() | The image on the left is immunohistochemistry of paraffin-embedded Human thyroid cancer tissue using PACO20980(MUC1(NT) Antibody) at dilution 1/20, on the right is treated with synthetic peptide. (Original magnification: x200). |
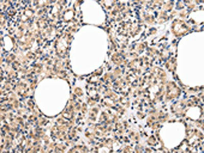
![]() | The image on the left is immunohistochemistry of paraffin-embedded Human liver cancer tissue using PACO20980(MUC1(NT) Antibody) at dilution 1/20, on the right is treated with synthetic peptide. (Original magnification: x200). |
| Background: | This gene encodes a membrane-bound protein that is a member of the mucin family. Mucins are O-glycosylated proteins that play an essential role in forming protective mucous barriers on epithelial surfaces. These proteins also play a role in intracellular signaling. This protein is expressed on the apical surface of epithelial cells that line the mucosal surfaces of many different tissues including lung, breast stomach and pancreas. This protein is proteolytically cleaved into α and β subunits that form a heterodimeric complex. The N-terminal α subunit functions in cell-adhesion and the C-terminal β subunit is involved in cell signaling. Overexpression, aberrant intracellular localization, and changes in glycosylation of this protein have been associated with carcinomas. This gene is known to contain a highly polymorphic variable number tandem repeats (VNTR) domain. Alternate splicing results in multiple transcript variants. |
| Synonyms: | mucin 1, cell surface associated |
| UniProt Protein Function: | MUC1: a large cell surface glycoprotein expressed by most glandular and ductal epithelial cells and some hematopoietic cell lineages. Plays a role in adhesion and cell-cell interactions, metastasis and signaling. May provide a protective layer on epithelial surfaces. Direct or indirect interaction with actin cytoskeleton. Its cytoplasmic tail (MUC1CT) is involved in several signaling pathways, including those involving Ras, beta-catenin, p120 catenin, p53 and estrogen receptor alpha. MUC1CT also forms complexes with transcription factors, and then translocates to the nucleus by an unknown mechanism, where it is believed to influence the transcription of their target genes. MUC1CT has also been proposed to localize to mitochondrial membranes under conditions of genotoxic stress, where it attenuates the apoptotic pathway in response and confers resistance to apoptosis-inducing drugs. Aberrantly glycosylated forms expressed in human epithelial tumors, such as breast or ovarian cancer and also in non-epithelial tumor cells. Nine alternatively spliced isoforms have been described. Isoforms 5 and 9 are secreted. Isoform 7, expressed only in tumor cells, is a receptor and binds the secreted isoform 5. The binding induces the phosphorylation of the isoform 7, alters cellular morphology and initiates cell signaling. Can bind to GRB2 adapter protein. |
| UniProt Protein Details: | Protein type:Nuclear receptor co-regulator; Motility/polarity/chemotaxis; Actin-binding; Membrane protein, integral; Tumor suppressor; Cell adhesion Chromosomal Location of Human Ortholog: 1q21 Cellular Component: extracellular space; cell surface; integral to plasma membrane; Golgi lumen; cytoplasm; nuclear chromatin; apical plasma membrane; vesicle Molecular Function:protein binding; p53 binding; transcription cofactor activity Biological Process: protein amino acid O-linked glycosylation; DNA damage response, signal transduction by p53 class mediator resulting in transcription of p21 class mediator; cellular protein metabolic process; regulation of transcription from RNA polymerase II promoter in response to stress; O-glycan processing; post-translational protein modification; DNA damage response, signal transduction by p53 class mediator resulting in cell cycle arrest Disease: Medullary Cystic Kidney Disease 1 |
| NCBI Summary: | This gene encodes a membrane-bound protein that is a member of the mucin family. Mucins are O-glycosylated proteins that play an essential role in forming protective mucous barriers on epithelial surfaces. These proteins also play a role in intracellular signaling. This protein is expressed on the apical surface of epithelial cells that line the mucosal surfaces of many different tissues including lung, breast stomach and pancreas. This protein is proteolytically cleaved into alpha and beta subunits that form a heterodimeric complex. The N-terminal alpha subunit functions in cell-adhesion and the C-terminal beta subunit is involved in cell signaling. Overexpression, aberrant intracellular localization, and changes in glycosylation of this protein have been associated with carcinomas. This gene is known to contain a highly polymorphic variable number tandem repeats (VNTR) domain. Alternate splicing results in multiple transcript variants.[provided by RefSeq, Feb 2011] |
| UniProt Code: | P15941 |
| NCBI GenInfo Identifier: | 296439295 |
| NCBI Gene ID: | 4582 |
| NCBI Accession: | P15941.3 |
| UniProt Secondary Accession: | P15941,P13931, P15942, P17626, A5YRV1, A6ZID9, A6ZIE0 B1AVQ8, B1AVR0, B6ECA1, E7ESE5, E7EUG9, |
| UniProt Related Accession: | P15941 |
| Molecular Weight: | |
| NCBI Full Name: | Mucin-1 |
| NCBI Synonym Full Names: | mucin 1, cell surface associated |
| NCBI Official Symbol: | MUC1 |
| NCBI Official Synonym Symbols: | EMA; MCD; PEM; PUM; KL-6; MAM6; MCKD; PEMT; CD227; H23AG; MCKD1; MUC-1; ADMCKD; ADMCKD1; CA 15-3; MUC-1/X; MUC1/ZD; MUC-1/SEC |
| NCBI Protein Information: | mucin-1; episialin; DF3 antigen; H23 antigen; cancer antigen 15-3; krebs von den Lungen-6; mucin 1, transmembrane; carcinoma-associated mucin; polymorphic epithelial mucin; peanut-reactive urinary mucin; tumor associated epithelial mucin; breast carcinoma-associated antigen DF3; tumor-associated epithelial membrane antigen; Medullary cystic kidney disease, autosomal dominant |
| UniProt Protein Name: | Mucin-1 |
| UniProt Synonym Protein Names: | Breast carcinoma-associated antigen DF3; Cancer antigen 15-3; CA 15-3; Carcinoma-associated mucin; Episialin; H23AG; Krebs von den Lungen-6; KL-6; PEMT; Peanut-reactive urinary mucin; PUM; Polymorphic epithelial mucin; PEM; Tumor-associated epithelial membrane antigen; EMA; Tumor-associated mucin; CD_antigen: CD227Cleaved into the following 2 chains:Mucin-1 subunit alpha; MUC1-NT; MUC1-alpha; Mucin-1 subunit beta; MUC1-betaAlternative name(s):MUC1-CT |
| Protein Family: | Mucin |
| UniProt Gene Name: | MUC1 |
| UniProt Entry Name: | MUC1_HUMAN |
| Secondary Antibody |
| Anti-HRP Goat Anti-Rabbit IgG (H+L) Antibody (CABS014) |
| Recommended Products |
| Anti-FITC Goat Anti-Rabbit IgG (H+L) Antibody (CABS011) |
| Anti-HRP-conjugated Beta Actin Antibody (CABC028) |

