The MAP3K10 Polyclonal Antibody (PAC018641) is a valuable tool for researchers studying the MAP3K10 protein, which plays a crucial role in various cellular processes, including cell growth, differentiation, and apoptosis. This antibody, produced in rabbits, exhibits high reactivity with human samples and has been validated for use in Western blot applications.MAP3K10, also known as MEKK10, is a member of the MAP kinase kinase kinase (MAP3K) family, which serves as upstream regulators in signaling pathways leading to activation of MAP kinases.
The protein is involved in mediating cellular responses to environmental stimuli, such as stress and growth factors, making it a key player in cell signaling.Research involving MAP3K10 is important for understanding its role in diseases such as cancer, where dysregulation of signaling pathways can lead to uncontrolled cell growth. By utilizing the MAP3K10 Polyclonal Antibody, researchers can detect and analyze the protein in various cell types, providing valuable insights into its function and potential as a therapeutic target.
Antibody Name:
MAP3K10 Antibody (PACO18641)
Antibody SKU:
PACO18641
Size:
50ul
Host Species:
Rabbit
Tested Applications:
ELISA, IHC
Recommended Dilutions:
ELISA:1:2000-1:5000, IHC:1:25-1:100
Species Reactivity:
Human, Mouse
Immunogen:
Synthetic peptide of human MAP3K10
Form:
Liquid
Storage Buffer:
-20°C, pH7.4 PBS, 0.05% NaN3, 40% Glycerol
Purification Method:
Antigen affinity purification
Clonality:
Polyclonal
Isotype:
IgG
Conjugate:
Non-conjugated
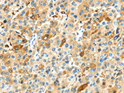
The image on the left is immunohistochemistry of paraffin-embedded Human liver cancer tissue using PACO18641(MAP3K10 Antibody) at dilution 1/35, on the right is treated with synthetic peptide. (Original magnification: x200).
Background:
The protein encoded by this gene is a member of the serine/threonine kinase family. This kinase has been shown to activate MAPK8/JNK and MKK4/SEK1, and this kinase itself can be phoshorylated, and thus activated by JNK kinases. This kinase functions preferentially on the JNK signaling pathway, and is reported to be involved in nerve growth factor (NGF) induced neuronal apoptosis.
Synonyms:
mitogen-activated protein kinase kinase kinase 10
UniProt Protein Function:
MLK2: a TKL kinase of the MLK family. A dual leucine zipper kinase. Phosphorylates and activates JNK and SEK1. Interacts with PAK and NCK. May be involved in nerve growth factor-induced neuronal apoptosis.Protein type: Protein kinase, Ser/Thr (non-receptor); Kinase, protein; EC 2.7.11.25; Protein kinase, TKL; TKL group; MLK family; MLK subfamilyChromosomal Location of Human Ortholog: 19q13.2Cellular Component: cytoplasmMolecular Function: ATP binding; bHLH transcription factor binding; JUN kinase kinase kinase activity; protein homodimerization activity; protein kinase activity; protein serine/threonine kinase activity; transcription corepressor activityBiological Process: activation of JNK activity; activation of JNKK activity; apoptosis; JNK cascade; negative regulation of transcription factor activity; negative regulation of transcription, DNA-dependent; peptidyl-serine phosphorylation; peptidyl-threonine phosphorylation; positive regulation of apoptosis; positive regulation of JNK activity; positive regulation of JNK cascade; protein amino acid autophosphorylation; signal transduction; smoothened signaling pathway
UniProt Protein Details:
NCBI Summary:
The protein encoded by this gene is a member of the serine/threonine kinase family. This kinase has been shown to activate MAPK8/JNK and MKK4/SEK1, and this kinase itself can be phoshorylated, and thus activated by JNK kinases. This kinase functions preferentially on the JNK signaling pathway, and is reported to be involved in nerve growth factor (NGF) induced neuronal apoptosis. [provided by RefSeq, Jul 2008]