The LTBP4 Polyclonal Antibody (PAC046178) is a valuable tool for research involving LTBP4, a protein involved in regulating the bioavailability and activation of TGF-β. This antibody, produced in rabbits, exhibits high reactivity with human samples and has been validated for use in Western blot applications. By binding to the LTBP4 protein, this antibody enables the detection and analysis of LTBP4 in various cell types, making it an essential reagent for studies in immunology, cancer research, and developmental biology.LTBP4 is a crucial player in the TGF-β signaling pathway, influencing diverse biological processes such as cell growth, differentiation, and tissue repair.
Dysregulation of LTBP4 has been implicated in various diseases, including cancer, fibrosis, and developmental disorders. Investigating the function of LTBP4 can provide valuable insights into the molecular mechanisms underlying these conditions, potentially leading to the development of novel therapeutic strategies.Overall, the LTBP4 Polyclonal Antibody is a reliable tool for researchers seeking to explore the role of LTBP4 in health and disease. Its specificity, sensitivity, and versatility make it suitable for a wide range of experimental applications, shedding light on the complex interplay between LTBP4 and TGF-β signaling pathways.
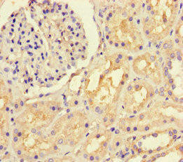
Immunohistochemistry of paraffin-embedded human kidney tissue using PACO46178 at dilution of 1:100.
Immunofluorescent analysis of HepG2 cells using PACO46178 at dilution of 1:100 and Alexa Fluor 488-congugated AffiniPure Goat Anti-Rabbit IgG(H+L).
Background:
May be involved in the assembly, secretion and targeting of TGFB1 to sites at which it is stored and/or activated. May play critical roles in controlling and directing the activity of TGFB1. May have a structural role in the extra cellular matrix (ECM) (By similarity).
Synonyms:
Latent-transforming growth factor beta-binding protein 4 (LTBP-4), LTBP4
UniProt Protein Function:
LTBP4: May be involved in the assembly, secretion and targeting of TGFB1 to sites at which it is stored and/or activated. May play critical roles in controlling and directing the activity of TGFB1. May have a structural role in the extra cellular matrix (ECM). Defects in LTBP4 are the cause of Urban-Rifkin-Davis syndrome (URDS); also known as Cutis laxa with severe pulmonary gastrointestinal and urinary abnormalities. URDS is a syndrome characterized by disrupted pulmonary, gastrointestinal, urinary, musculoskeletal, craniofacial and dermal development. Clinical features include cutis laxa, mild cardiovascular lesions, respiratory distress with cystic and atelectatic changes in the lungs, and diverticulosis, tortuosity and stenosis at various levels of the intestinal tract. Craniofacial features include microretrognathia, flat midface, receding forehead and wide fontanelles. Belongs to the LTBP family. 4 isoforms of the human protein are produced by alternative splicing.Protein type: Extracellular matrix; Secreted; Secreted, signal peptideChromosomal Location of Human Ortholog: 19q13.1-q13.2Cellular Component: extracellular matrix; extracellular region; extracellular space; proteinaceous extracellular matrixMolecular Function: protein binding; transforming growth factor beta bindingBiological Process: growth hormone secretion; multicellular organismal development; protein folding; regulation of cell differentiation; regulation of cell growth; regulation of proteolysis; regulation of transforming growth factor beta receptor signaling pathwayDisease: Cutis Laxa, Autosomal Recessive, Type Ic
UniProt Protein Details:
NCBI Summary:
The protein encoded by this gene binds transforming growth factor beta (TGFB) as it is secreted and targeted to the extracellular matrix. TGFB is biologically latent after secretion and insertion into the extracellular matrix, and sheds TGFB and other proteins upon activation. Defects in this gene may be a cause of cutis laxa and severe pulmonary, gastrointestinal, and urinary abnormalities. Three transcript variants encoding different isoforms have been found for this gene.[provided by RefSeq, May 2010]